Abstract
Nasogastric tube has a key role in the management of substantial number of hospitalized patients particularly the critically ill. In spite of the apparent simple insertion technique, nasogastric tube placement has its serious perhaps fatal complications which need to be carefully assessed. Pulmonary misplacement and associated complications are commonplace during nasogastric tube procedure. We present a case of tension pneumothorax and massive surgical emphysema in critically ill ventilated patient due to inadvertent nasogastric tube insertion and also discussed the risk factors, complication list, and arrays of techniques for safer tube placement.
1. Introduction
Nasogastric tube insertion is a common procedure in hospitalized, particularly critically ill patients. Simple yet serious, this procedure may carry severe complications, increasing the odds of morbidity and mortality. The interactions between patient and procedure risk factors probably aggravate the range of drawbacks. Training, observation, and confirmation techniques would help to prevent or at least minimize the complication and maximize safe practice.
2. Case Report
2.1. History
Sixty-year-old male patient was known to have type II diabetes mellitus, hypertension, 4-year postrenal transplant, and hepatitis C cirrhosis. The patient was admitted to the hospital complaining of watery diarrhea that proved to be due to cytomegalovirus (CMV) colitis. During hospital stay, he developed respiratory distress and hypoxia, so he was transferred to the intensive care unit (ICU).
2.2. Assessment and ICU Course
The patient was intubated with no airway difficulty, connected to mechanical ventilation with SIMV/pressure support mode, FiO2 0.4, and PEEP of 12 cmH2O to maintain oxygen saturation of 95%. His chest X-ray showed bilateral airspace disease that was suggestive of CMV pneumonitis. The patient was in a shock status requiring norepinephrine infusion of 18 micrograms/min. The patient was sedated with fentanyl and propofol targeting Richmond Agitation Sedation Scale (RASS) of −2.
In order to establish enteral feeding, attempts of insertion of nasogastric tube had failed. By the third attempt, a 16-French size, stylet-stiffened polyurethane nasogastric tube was inserted without difficulty.
The aspiration via the inserted NG tube revealed a 300 mL of clear yellow fluid. However, insufflations with 50 mL of air and auscultation at epigastric area were equivocal.
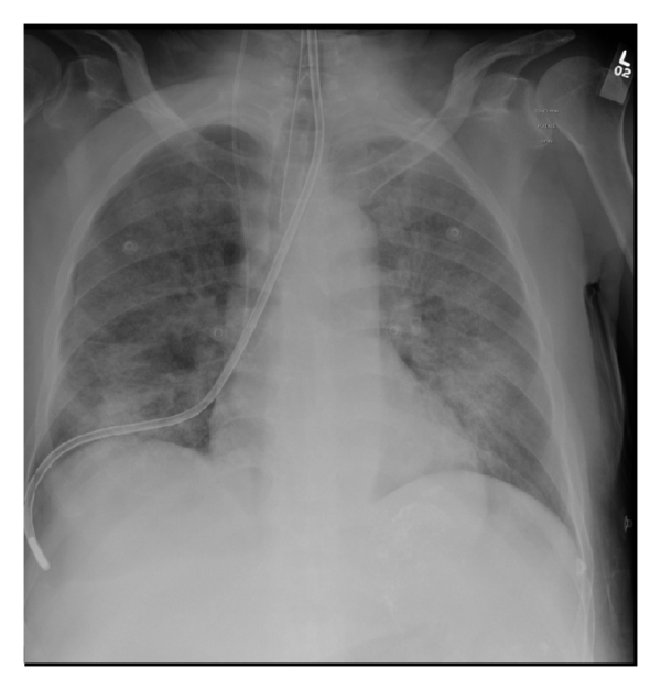
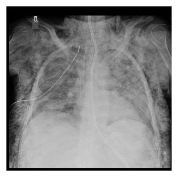
After NG tube insertion, chest X-ray showed misplaced NG tube at the right main bronchus down to the right pleural space and development of new 7.8 mm right sided pneumothorax (Figure 1, chest X-ray). The NG tube had been immediately removed and PEEP was decreased to 5 cmH2O. Over few minutes, the patient became progressively hypotensive and hypoxic, requiring higher doses of norepinephrine infusion and FiO2 of 60% to maintain 95% saturation. Right sided chest tube was inserted and the repeated X-ray revealed new subcutaneous emphysema (Figure 2). Using direct laryngoscopy technique, nasogastric tube was inserted under vision.


Over the following seven days, the patient condition had improved and the patient was successfully extubated and noninvasive ventilation was applied electively for few hours.
3. Discussion
Nasogastric tube (NGT) placement is a frequently performed procedure for hospitalized, particularly critically ill patients. Though it seems a simple procedure, it may carry potential life-threatening complications due to misplacement. These complications may be exacerbated by the delay in recognition or removal of misplaced tube.
In one prospective series of 740 NGT insertions in ICU patients, there was a 2% incidence of tracheopulmonary complications with a mortality of 0.3%, with pneumothoraces being the most frequent complication [1]. Other thoracic complications include erroneous bronchial placement, leading to atelectasis, pneumonia, and lung abscess (Table 1).
While the enteral nutrition is devoid of risk of complications associated with central venous catheter insertion for parental nutrition, the hazard of pulmonary complications with feeding tube insertion is comparable to that of central line [2].
Arrays of risk factors which individually or synergistically lead to NGT malposition are summarized in Table 2.
Our patient had developed an iatrogenic tension pneumothorax secondary to misplaced NG tube as a result of intricately involved potential risk factors, namely, impairment of conscious level, being critically ill, and the presence of endotracheal tube. All those factors compromise the airway reflexes, swallowing mechanism, and patient’s ability to report shortness of breath or chest discomfort associated with displaced NGT. In addition, the blind insertion of NGT, stylet-stiffened feeding tube, and multiple attempts of insertion are well recognized predisposing factors of NGT complications [3, 4].
In the presented case, bedside tests were done in order to confirm appropriate positioning, starting with aspiration of gastric fluid which was falsely positive due to extraction of the yellowish pleural effusion. Then, air insufflation test was performed revealing worrisome auscultation sounds for possible tracheopulmonary insertion; for that reason, the tube was not used for feeding and a chest X-ray was requested, though it is not our routine institutional protocol, done, and confirmed a malposition NGT into the right pleural space. Criticizing the lack of the institutional protocol was addressed clearly by Weinberg and Skewes who concluded that the adoption of rigid protocols that include a mandatory radiograph immediately after the insertion of feeding tubes shows an alarming rate of 1–3% risk of feeding tubes lodging at any site in the airway down to the lung [5].
The traditional bedside techniques of gastric aspiration and insufflation test lack specificity and sensitivity and often give false reassurance that the NGT is properly positioned [6, 7].
Several suggested confirmatory tests are depicted elaborately in the literature including clinical, radiological, and laboratory investigations (Table 3).
Nevertheless, chest X-ray after insertion of feeding tube is considered a gold standard confirmatory test [6], which prevents additional complications.
In an endeavor to prevent rather than reduce the NGT insertion drawbacks, many trials and techniques had been described. In 1989, Roubenoff and Ravich proposed a two-step protocol for nasogastric tube insertion. In this procedure, the feeding tube is initially advanced blindly to 30 cm and then its position is verified by chest radiograph. After radiographic confirmation of the tube position in the esophagus, the tube is further inserted into its adequate length and a second radiograph is taken to check the final location [7].
Marderstein et al. applied that protocol at their institution and found that the rate of nasogastric tube induced pneumothorax decreased from 0.38% to 0.09%. While improving patient safety, it is a time-consuming protocol, exposing the patient to two X-rays and questioning its cost-effectiveness [3].
Additionally, the observation of the aspirate character to predict proper placement is subjective and has limited value which could be deceiving as what had occurred with our case [8].
Having inadequate conventional confirmatory methods, several new techniques are developed to overcome the misplacement and related complications. In addition to fluoroscopic and endoscopic based approaches, another device that allows for real time localization of the feeding tube tip was assessed by Young et al. with promising success rates [9]. This technology uses a signaling device at the end of the NGT which is traced by an external sensor with feedback signals as it passes through stomach, pylorus, and duodenum.
4. Conclusion
Airway and other significant complications rates pertinent to NGT insertion are considerable. Institutional protocol is required to reduce the substantial risk of tube misplacement of NGT.
Considering the potential life-threatening complications that may occur in case of displaced nasogastric tube, especially in critically ill patient, alternative essential confirmatory methods need to be discovered.
Capnometry method has the highest specificity and sensitivity among the other known bedside methodologies. Carbon dioxide detection monitoring may detect the respiratory displacement of the feeding tube and consequently contribute to the prevention of pulmonary complications. Nevertheless, the other techniques still aimed at early detection of anticipated adverse events rather than prevention.
Experienced operator, periprocedural risk assessment, proper technique of placement, and postprocedure confirmations are the fundamental recommendations for safe NGT insertions.
Conflict of Interests
The authors declare that there is no conflict of interests regarding the publication of this paper.