Abstract
The purpose of this paper was to characterize proteins secreted from the human nonpigmented ciliary epithelial (HNPE) cells, which have differentiated a rat retinal ganglion cell line, RGC-5. Undifferentiated RGC-5 cells have been shown to express several marker proteins characteristic of retinal ganglion cells. However, RGC-5 cells do not respond to N-methyl-D aspartate (NMDA), or glutamate. HNPE cells have been shown to secrete numbers of neuropeptides or neuroproteins also found in the aqueous humor, many of which have the ability to influence the activity of neuronal cells. This paper details the profile of HNPE cell-secreted proteins by proteomic approaches. The experimental results revealed the identification of 132 unique proteins from the HNPE cell-conditioned SF-medium. The biological functions of a portion of these identified proteins are involved in cell differentiation. We hypothesized that a differentiation system of HNPE cell-conditioned SF-medium with RGC-5 cells can induce a differentiated phenotype in RGC-5 cells, with functional characteristics that more closely resemble primary cultures of rat retinal ganglion cells. These proteins may replace harsh chemicals, which are currently used to induce cell differentiation.
1. Introduction
Primary open angle glaucoma (POAG), a leading cause of irreversible blindness worldwide, is an optic neuropathy characterized by the gradual and progressive loss of retinal ganglion cells (RGCs), optic nerve degeneration, and excavation of the optic disks [1–4]. The hypothesis has been that larger RGCs were selectively lost in the early stage of glaucoma [5]. Although the mechanisms of optic nerve damage in glaucoma have not been completely determined, it appears that the optic nerve head is a major site of damage [6].
RGCs can generate action potentials that travel along the optic fibers [7]. In general, RGCs are a mixture of more than 20 cell subtypes. They have energy-dependent axonal transport functions—orthograde and retrograde transports [8]. These terminal projection areas are in the lateral geniculate body. RGCs can be subdivided by their morphology and physiology, but they are usually discussed without classifications.
The in vitro study of the physiology and pathophysiology of RGCs has been limited to primary cultures. Previous studies have characterized a transformed rat retinal ganglion cell-line (RGC-5), which expresses many neuronal cell markers, including Thy-1, a cell surface glycoprotein found predominantly in the retinal ganglion cells [6, 9, 10], and Brn-3C, a POU domain transcription factor expressed exclusively in the retinal ganglion cells [11]. RGC-5 cells also express receptors of N-methyl-D aspartate (NMDA), GABA-B, and neurotrophin [6]. However, unlike primary RGCs, these cells were not sensitive to glutamate excitotoxicity in their undifferentiated state. RGC-5 cells pretreated with succinyl concanavalin-A (sCon A) were sensitive to 500 μM glutamate [12]. Lacking glutamate sensitivity causes the difficulties of using the RGC-5 cells in experiments involving glutamate.
Ocular ciliary epithelium cells have been shown to be involved in the synthesis and secretion of various proteins found in aqueous humor [13]. Several proteins, including neuropeptides and their processing enzymes, synthesized and secreted by a human nonpigmented ciliary epithelial (HNPE) cell-line, have been evaluated [14], and it is suggested that these secreted proteins can act in an autocrine or paracrine manner to affect ciliary epithelial functions and other target ocular cells, such as the trabecular meshwork [13]. Because of the neuroendocrine properties of the ciliary epithelium cells, the ability to confer differentiated neuroendocrine phenotypes and the physical locations of these ciliary epithelium cells and RGCs [15], we hypothesized that factors secreted by these HNPE cells may induce the RGC-5 cells to differentiate, and possibly induce glutamate and NMDA sensitivities.
Proteomic analysis, including identification and characterization, is a powerful tool for determination of biological roles and functions of individual proteins. In the present report, we have utilized a system involving HNPE and RGC-5 cells, and this system may result in the morphological and functional differentiation of RGC-5 cells. Although the origin of RGC-5 has been still in question, the expression of neuronal markers was validated [16]. Proteomic approaches have been applied to establish a map of expressed proteins for the characteristics of HNPE cells.
2. Materials and Methods
2.1. Cell Culture
The human non-pigmented ciliary epithelium cells (HNPE) were SV-40 transformed and were a gift from Dr. Miguel Coca-Prados (Yale University). HNPE were maintained at 37°C and 5% CO2 in Dulbecco's modified Eagle's medium (DMEM, Gibco, Grand Island, NY, USA) supplemented with 10% fetal bovine serum (FBS, Hyclone Laboratories, Logan, UT), 1% penicillin/streptomycin (Gibco, Grand Island, NY, USA) and 44 mM NaHCO3. After three days, the cells were washed with phosphate buffered saline (PBS) and the medium was replaced by serum-free (SF) DMEM for 12 h.
The HNPE cell conditioned SF-medium was filtered by 0.22 μm filter and diluted 25 times with autoclaved Milli-Q grade water (Millipore Co., Inc.). For each 5 kD cutoff centrifugal tube (Amicon Ultra-15, Millipore Co., Inc.), a 15 mL diluted sample was loaded. Following centrifugation at 5000 ×g for 20 min, the sample in the filter unit was collected. The protein concentration of the HNPE cell conditioned SF-medium was measured by the Bio-Rad Bradford total protein assay kit (Bio-Rad Laboratories, Inc.).
RGC-5 cells, a secondary cell culture, were transformed rat retinal ganglion cells developed and obtained from Dr. Agarwal (University of North Texas Health Science Center). RGC-5 cells were maintained in low glucose DMEM in T-150 culture flasks supplemented with 44 mM NaHCO3, 10% FBS, and 1% penicillin/streptomycin (Gibco). Differentiated RGC-5 cells were obtained by using 50% HNPE cell conditioned SF-medium and 50% fresh DMEM (containing 10% FBS). HNPE conditioned medium, which consisted of low glucose DMEM, was incubated with human non-pigmented ciliary epithelial cells (HNPE).
2.2. Immunocytochemistry
RGCs were grown on glass coverslips for 1-2 days prior to experimentation. Coverslips were rinsed with PBS three times and then were fixed in 4% paraformaldehyde for 30 min. These cells were washed with PBS before being permeabilized in 0.1% Triton X-100 for 15 min, washed with PBS, and blocked with 5% bovine serum albumin for 60 min. After rinsing with PBS, the cells were incubated with a mixture of Thy-1 (monoclonal antibodies, Chemicon, Temecula, CA, 1 : 200) and Brn-3C (polyclonal antibodies, Convance Inc, Princeton, NJ, 1 : 1000) for 1.5 h at room temperature and subsequently incubated with a combination of secondary antibodies. After PBS rinses, these cells were incubated for 10 min in the dark with 300 nM DAPI to stain nuclear regions. Cover-slides were mounted on glass slides in antifade medium (FluorSave; Calbiochem, La Jolla, CA) and allowed to dry for 20 min in the dark. Cells were visualized and images were taken using a Zeiss LSM-410 Confocal Scanning Laser Microscope System. Controls were performed by omitting primary antibodies.
2.3. 1D SDS-PAGE
HNPE cell-secreted proteins were separated under denaturing conditions in a 4–12% polyacrylamide gel. The HNPE cell conditioned SF-medium was resuspended in the sample buffer (Invitrogen NuPAGE SDS sample buffer), heated at 80°C for 10 min and then stored on ice. Each well was loaded with 5 μg of sample solution. The SDS-PAGE gel was run in a Bio-Rad protean II xi cell (Richmond CA, USA) at 200 V for 1 h. After completion of electrophoresis, the protein bands in the gel were visualized by silver staining and image acquired using an image scanner (Amersham Biosciences, Uppsala, Sweden), which is operated by the software LabScan 5.00 (Amersham Biosciences).
2.4. Silver Staining
The gels were fixed in an aqueous solution having 40% ethanol and 10% acetic acid overnight, and then incubated in a buffer solution containing 30% ethanol, 6.8% w/v sodium acetate, and 0.312% w/v sodium thiosulfate for 30 min. After rinsing three times for 5 min each, the gels were stained in a 0.25% w/v silver nitrate solution containing 0.02% formaldehyde for 30 min. The development was performed for 10 min in a solution consisting of 2.5% sodium carbonate and 0.01% formaldehyde. An acetic acid solution (5% v/v) was used to stop the development, and the stained gels were then rinsed three times for 5 min each.
2.5. Protein Identification by Nano-HPLC-ESI-MS/MS
The protein bands were excised manually and digested using sequence grade trypsin (V511A, Promega, USA). The protein samples were reduced, alkylated, and then digested with trypsin using standard protocols [17, 18].
Reverse phase nano-high performance liquid chromatography electrospray ionization tandem mass spectrometry (RP-nano-HPLC-ESI-MS/MS) was used to identify the selected protein bands separated on the SDS-PAGE. The peptides obtained from the tryptic in-gel digestion were analyzed using a nano-HPLC system (LC Packings, Netherlands) coupled to an ion trap mass spectrometer (LCQ Deca XP Plus, ThermoFinnigan, San Jose, CA, USA) equipped with an electrospray ionization source. A linear acetonitrile gradient from 100% buffer A (5% acetonitrile/0.1% formic acid) to 60% buffer B (80% acetonitrile/0.1% formic acid) was used at a flow rate of approximately 200 nL/min for 70 min. The separation was performed on a C18 microcapillary column (Zorbax 300SB-C18, 3.5 μm, 75 μm I.D. ×150 mm, Agilent, Germany). Peptides eluted from the microcapillary column were electrosprayed into the nano-HPLC-ESI-MS/MS with the application of a distal 1.3 kV with heated capillary at the temperature of 200°C. Each cycle of one full scan mass spectrum (m/z 450–2000) was followed by three data-dependent tandem mass spectra with the collision energy was set at 35%.
2.6. Database Search
For protein identification, Mascot software (Version 2.2.1, Matrix Science, London, UK) was used to search the human protein sequence database (Swiss-Prot, Release 52.0 of 22-Feb-08). For proteolytic cleavages, only tryptic cleavage was allowed, and the number of maximal internal (missed) cleavage sites was set to 2. Variable modifications of cysteine with carboxyamidomethylation, methionine with oxidation, and asparagine/glutamine with deamidation were allowed. The mass tolerances of the precursor peptide ion and fragment ion were set to 1 Da. Positive protein identifications were defined if the Mowse scores of greater than 50 were considered significant (). Proteins were initially annotated by similar searches using UniProtKB/Swiss-Prot databases (Last modified September 22, 2009) [19–21].
3. Results and Discussion
Cell secretome (cell-conditional medium) studies can make major contributions in understand biomarker discovery and cell pathophysiological mechanisms. It is composed of proteins that are found in the extracellular growth medium. The cell secretome consists of proteins that are secreted, shed from the cell surface and intracellular proteins released into the supernatant due to cell lysis, apoptosis, and necrosis [22, 23]. The secretome which consists of proteins or peptides secreted from cells into the extracellular medium represents the major class of molecules involved in the intercellular communication in multicellular organisms. It constitutes an important class of proteins that control and regulate a multitude of biological and physiological processes and indicates a clinically relevant source for biomarker and therapeutic target discoveries [24].
Thus, secreted proteins constitute an important category of active molecules that play crucial roles in a number of physiological and pathological processes and may reflect a broad variety of pathological conditions and thus represent a rich source of biomarkers. Proteomic characterization of proteins for identification of specific biomarkers provides a powerful tool to gain deep insights into disease mechanisms in which proteins play major roles. In this study, we have used gel electrophoresis associated with mass spectrometry for identification of the proteome and secretome of HNPE cell conditioned SF-medium samples.
3.1. RGC-5 Cell Differentiation
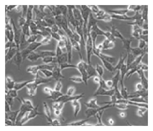
The differentiation system consisted of RGC-5 cells on coverslips inside 6-well plates, which were exposed to the conditioned medium from HNPE cells. RGC-5 cells proliferated rapidly with a doubling time of less than a day. Decreasing the percentage of serum in the medium may slow down proliferation. The control RGC-5 cells were heterogeneous in shape. Morphological changes of RGC-5 cells were induced by HNPE cell conditioned SF-medium (Figure 1) and caused the shrinkage of the cell body with elongated neurite outgrowth (Figure 1(b)), which allows comparison with undifferentiated RGC-5 cells (Figure 1(a)). The overall morphology of RGC-5 cells after the treatment was similar to those seen in primary cultures of rat retinal ganglion cells [25]. Moreover, the morphology of RGC-5 cells differentiated by our method was similar to the ones induced by a broad-spectrum protein kinase inhibitor staurosporine [26]. Nevertheless, Frassetto and coworkers did not conclude this to be the possible differentiation mechanism. This secretome map is a preliminary study to unveil the mechanism since the differentiation is probably the consequence of the action of several proteins and/or enzymes. It was also noted that the differentiation treatment led to decreased culture density compared with the control cells. This finding is consistent with the study from Wood et al. [27]. For subsequent studies, the conditioned medium from confluent flasks containing HNPE cells was used and found to be equally effective in promoting differentiation of RGC-5 cells.

(a)

(b)
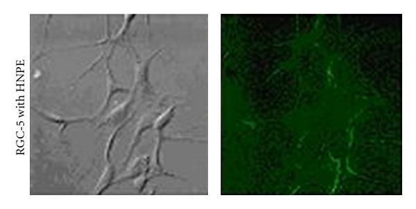
Thy-1 expression in undifferentiated RGC-5 cells was used as a marker to identify retinal ganglion cells [28]. After treatment with HNPE cell conditioned SF-medium, RGC-5 cells have an enhanced Thy-1 expression, compared to the undifferentiated cells (Figure 2). In the retina, the class IV POU domain transcription factor, Brn-3b, was expressed almost exclusively in subpopulations of ganglion cells and used to identify RGCs [29]. Brn-3b was regarded as a marker for differentiation of RGCs, since Brn-3 factors were not necessary for the initial specification of sensory neurons, but were essential for their normal differentiation and survival [30]. Specifically, Brn-3b was localized in the nuclear in RGC-5 cells; however, upon treatment with HNPE cell conditioned SF-medium, RGC-5 cells express Brn-3b in a more punctate cytosolic manner (Figure 2).

(a)

(b)

(c)

(d)
3.2. Proteome Analysis
The SDS-PAGE followed by silver staining resolved the protein bands from HNPE cell conditioned SF-medium. Figure 3 shows the silver-stained 1D SDS-PAGE of secreted proteins from HNPE cells. Five micrograms of secreted protein was loaded on a gel for visualization, and more than 30 protein bands were detected in the HNPE conditioned SF-medium using the image analysis software. To identify the proteins, the position of the 1D SDS-PAGE lane was excised from the gel, washed to remove the stain, and subjected to tryptic digestion. The resulting peptides were characterized by nano-HPLC-MS/MS for protein identification. When a protein was identified by three or more unique peptides possessing MASCOT scores, no visual assessment of spectra was conducted and the protein was considered present in the sample.

In this study, all MS/MS spectra were manually confirmed (even if the above criteria were passed) by the visual assessment for their overall quality. In addition, the criteria for manual validation reported by Jaffe et al., which requires a readily observable series of at least four y-ions, was used [31]. Thus, the criteria should be enough for the validation of the identified proteins. By using this strategy, 132 unique proteins with at least three unique peptide sequences matched were identified, and a summary of the protein identifications achieved is listed in Table 1.
In this study, 47 proteins (35.6%) were known to be present in cytoplasm. Twenty-two proteins (16.7%) were known to be secreted into the extracellular space. Twenty-five proteins (18.9%) were known to be nuclear proteins. Eleven proteins (8.3%) were known to be membrane proteins. Ten proteins (7.6%) were known to be cytosol proteins. A few mitochondrial, endoplasmic reticulum, intracellular, cytoskeleton, and golgi apparatus proteins were also identified. A considerable portion of the identified proteins (6%, 8 proteins) has not been reported for their synthesized locations. Some proteins were described as found in different subcellular locations, which explains the total sum being substantially larger than 100%.
Some identified proteins in the distribution of cellular location were not secreted proteins, but they were still present in the secreted medium. To clarify the puzzle, a cell viability test was applied. The survival rate of HNPE cells was determined by the dimethylthiazol-diphenyltetrazolium bromide (MTT) assay, which was about 97%. Thus, those identified proteins were not corresponding to released proteins from dead cells. Also, according the protein profiles in Figure 3, the protein patterns obtained from secreted medium and cell lysate were very different. As a result, these proteins identified in this study can be considered as secreted proteins, which may have been synthesized inside the cells and transferred out.
Based on the functional categories in the Swiss-Prot and TrEMBL protein database, the identified proteins were classified into several groups. The Swiss-Prot identifiers could be employed for linkages of proteins to defined vocabulary of terms describing the cellular components, biological processes, and molecular functions of known gene ontology (GO). Gene Ontology Consortium provides annotations of each protein and its structure, which allowed us to organize selected proteins into biologically relevant groups. These groupings can be utilized as the basis for identifying biological information showing correlated protein changes [20, 32]. Such protein functions were listed in Table 2.
In this study, some of the proteins secreted by HNPE cells, which were confirmed by the Western blotting method, may be candidate factors responsible for promoting differentiation of RGC-5 cells including thrombospondin-1, 2, 3 precursor (1-2, 1-3, 1-13), galectin-3-binding protein (1-5~1-7), neurogenic locus notch homolog protein 3 (Notch-3, 1-11), follistatin-related protein 1 precursor (1-11), sPARC precursor (1-14), peroxiredoxin-1 (1-21, 1-22), cofilin 1 (1-24, 1-27), profilin 1 (1-27, 1-28), galectin-1 (1-28), and myotrophin (1-30). Cell differentiation is directed by a variety of intra- and extracellular events including signals generated by extracellular matrix (ECM) components, which mediate adhesive cell-to-cell interactions and trigger a cascade of post-receptor intracellular signaling pathways. The roles for ECM proteins in cell growth and differentiation can be indicated by their abilities to modulate a variety of growth factors [33].
Thrombospondin (TSP, MW~420 kDa), which belongs to a multigene family of modular modular glycoproteins, is composed of three identical subunits within a disulfide linkage. TSP is synthesized by several matrix-forming cells and is incorporated into their extracellular matrix. In several cell types, this protein supports cell growth and proliferation. As a component of ECM, TSP is involved in the regulation of mediate platelet aggregation, inflammation, and angiogenesis as well as adhesion, migration, growth, and differentiation of a number of normal and transformed cells [34, 35]. The expression of the TSP has been also investigated during the process of differentiation of embryonal carcinoma cells, granulose cells and HL-60 cells in vitro [36–39]. Although the TSP is prevalent in differentiated cells, the induced TSP syntheses during the differentiation may function differently during neurogenesis.
In the eye, TSP-1 is localized in the epiretinal membrane and between the retinal pigment epithelial layer and Bruch’s membrane, which is a cell-attachment factor with cell-specific affinity. TSP-1 production by retinal pigment epithelial cells is affected by the state of proliferation and cell density. With its anti-angiogenic activity, TSP-1 may play several biologic roles on Bruch’s membrane [35]. In another report, the authors evaluated the bone marrow stromal cells (BMSCs) secretion of TSP-1, which is a putative mechanistic agent acting on RGCs for survival and growth [40]. The BMSC-derived TSP-1 is identified as a specific mediator of reparative processes in neurons, which functions included enhanced RGC neurite formation, cell survival, and expression of synaptophysin. It suggested that the TSP-1 signaling pathway might be an important role in neural-like differentiation in BMSCs and outgrowth in RGCs [40]. These observations suggest that the synthesis of TSP contributes to the differentiation options/alternatives of RGC-5 cells toward a neural fate, reminiscent of their neural crest origin.
TSP-2 and SPARC (secreted protein, acidic and rich in cysteine) are classified as matricellular proteins. TSP-2 appears to play a role in reducing proliferation, while SPARC may have a positive role in progenitor cell expansion. TSP-2 and SPARC have been shown to positively influence osteoblast differentiation, with the ability to limit adipogenesis [41, 42].
TSP-3 is structurally similar to cartilage oligomeric matrix protein (COMP/TSP-5), and was a recently described member with the calcium binding Type 3 repeats. Like Type 1 and 2 repeats, TSP-3 is absence of the complement and contains four epidermal growth factor receptors with a distinct N terminus that has no significant homology to other TSPs. TSP-3 is also an oligomeric heparin binding protein present in both the cell layer and medium [43].
Galectin-3-binding protein (G3BP), also known as Mac-2 binding protein, is a secreted glycoprotein with a molecular mass of ~90 kDa present in the extracellular matrix of cells. Gelectins and their binding proteins have primarily been described in cell-cell and cell-matrix interactions and play roles in autoimmunity, inflammation and tumor progression or metastasis [44]. G3BP promotes integrin-mediated cell adhesion and functions in cancer progression of human tumor cells. It also binds to multiple proteins in the extracellular matrix including collagen, fibronectin, and nidogen, and to molecules mediating cell-cell and cell-matrix adhesions that are critical during tumor cell invasion and migration [45–48].
Notch-3 was the third discovered human homologue of the Drosophila melanogaster type I membrane protein notch. In Drosophila, the interaction of notch with its cell-bound ligands (delta and serrate) establishes an intercellular signaling pathway that plays a key role in neural development. Members of the Notch gene family were thought to be involved as receptors for membrane-bound ligands Jagged1, Jagged2, and Delta1 in the regulation of cell fate in a variety of neurogenesis of embryos, particularly in the developing central nervous system (CNS) from the homogenous cell population of the neural tube [49, 50]. The Notch-3 activation induces the increase of the progenitor cell number in the CNS and affected CNS development. The Notch-3 mutation may lead to cerebral autosomal dominant arteriopathy with subcortical infarcts and leukoencephalopathy (CADASIL). CADASIL leads to stroke and dementia and is the main feature of recurrent subcortical ischemic events and vascular dementia. Such mutations affect highly-conserved cysteine residues in epidermal growth factor- (EGF-) like repeat domain in the extracellular part of the receptor [51, 52].
Follistatin-related protein (FSRP) is a recently discovered glycoprotein that is highly homologous in both primary sequence and exon/intron domain structure to the activin-binding protein, follistatin (FS). FS is a secreted monomeric glycoprotein and a member of a large group of proteins containing a highly conserved module of cysteine-rich sequence termed the follistatin domain. It was first isolated from ovarian follicular fluid on the basis of its ability to suppress FSH secretion by pituitary cells in vitro [53]. This follistatin gene family includes follistatin, follistatin-related gene (FLRG) protein, follistatin-related protein (FSRP), agrin, secreted protein acidic, and it is rich in cysteine (SPARC), and Mac25 [54]. A follistatin-like sequence containing 10 conserved cysteine residues may modulate the action of some growth factors on cell proliferation and differentiation. It was also thought to be an autoantigen associated with rheumatoid arthritis [55].
SPARC, also known as osteonectin, 43 K protein, or BM-40, is a 32.7 kDa calcium- and copper-binding glycoprotein, which is a product of natural synthesis from osteoblasts, endothelial cells, and megakaryocytes. It functions as a counteradhesive protein, as a modulator of growth factor activity, and as a cell-cycle inhibitor [56]. SPARC belongs to matrix-associated factors that mediate cell-matrix interactions. Other members of this group include TSP-1 and -2, osteopontin (OPN), tenascins, and the SPARC-related proteins. Expressed during many stages of development in a variety of organisms, the expression of this matricellular protein, SPARC, is restricted in adult vertebrates primarily to tissues that undergo consistent turnover or to sites of injuries and diseases [56]. Vertebrate SPARC binds to a number of different ECM components including albumin, thrombospondin 1, PDGF, vitronectin, entactin/nidogen, fibrillar collagens (types I, II, III, and V), and collagen type IV, the prevalent collagen in basement membranes [57]. The ability of SPARC to bind to several resident ECM proteins affects the expression of matrix metalloproteinases and adjusts effects of growth factors; as a counteradhesive factor of cell shape change, this supports SPARC to regulate cell interactions during their development [57]. SPARC appears to regulate cell growth through interactions with the extracellular matrix and cytokines. It is also a matricellular protein that modulates cell adhesion and proliferation and is thought to function in tissue remodeling and angiogenesis [58, 59].
Peroxiredoxin (PRDX) is a recently identified family of antioxidative proteins that includes six isoforms in mammals. They share a common reactive Cys residue in the N-terminal region and are capable of serving as a peroxidase, involving thioredoxin and/or glutathione as the electron donor. PRDX 1–4 have an additional reactive Cys residue in the conserved C-terminal region and show >70% amino acid sequence homology. In this capacity, they may be involved in the protection of cells from oxidative stress. Peroxiredoxin1 (PRDX1) is ubiquitously expressed and functions as an antioxidant enzyme, which reduces hydrogen peroxide and alkyl hydroperoxide and is involved in cellular proliferation, differentiation, apoptosis, and innate immunity [60]. PRDX1 may participate in the signal cascades of growth factors and tumor necrosis factor-α by regulating the intracellular concentrations of hydrogen peroxide [61–63]. A previous study also applied a proteomic approach to study PRDX1, -2, and -3 expressions in Alzheimer’s diseases and Down’s syndrome, and found a significant increase in PRDX1 expression associated with the neurodegenerative diseases [64].
The human cofilin protein has a molecular weight of approximately 21 kDa. It is a member of the actin depolymerization factor (ADF)/cofilin family. Cofilin is an essential cellular protein that can bind the barbed end of actin and is required for cell viability [65]. In cells, cofilin acts in harmony with other regulatory proteins to mediate the response of the actin cytoskeleton to extracellular signals. In vertebrates, cofilin is regulated by pH, phosphorylation and phosphoinositides. It is involved in the translocation of the actin-cofilin complex from cytoplasm to nucleus. Cofilin plays an essential role in actin filament dynamics by enhancing depolymerization and severance of actin filaments [66]. These activities of cofilin can be abolished by phosphorylation at Ser-3; therefore, phosphorylation/dephosphorylation of cofilin at Ser-3 is regarded as one of the important mechanisms for regulating cofilin activities and actin filament dynamics [67]. Sinha et al. reported that the suppression of cofilin might lead to cancer regression [68].
Profilin-1 (PFN1) is a widely and highly expressed 14- to 17-kDa cytoplasmic and nuclear ligand protein of the microfilament system. It is a ubiquitous actin monomer-binding protein involved in actin polymerization in response to extracellular signaling pathways. PFN1 plays a central role in the regulation of de novo actin assembly by preventing spontaneous actin polymerisation through the binding of actin monomers and addition of monomeric actin to the barbed actin-filament ends [69]. The importance of profilins for normal cell proliferation, differentiation, cellular survival, motility, adhesion, migration, and cytoskeleton remodelling has been verified [69–72]. PFN1 may be a tumor suppressor because its expression was reduced in several types of invasive cancers and it was able to suppress tumorigenicity when overexpressed [73]. In addition, the immunohistochemistry analysis also showed low levels of PFN1 in several human breast cancers. Other than being a tumor suppressor, PFN1 was reported as a necessary element for differentiation of human epithelial cells [74].
Galectins are a family of structurally related carbohydrate-binding proteins and widely distributed in nematodes, insects, and porifer, as well as vertebrates and fungi [75]. They are defined by their affinity for poly-N-acetyllactosamine-enriched glycoconjugates and sequence similarities in the carbohydrate recognition domain. The galectins are a family of β-galactoside-binding proteins implicated in modulating cell-cell and cell-matrix interactions, which would be required for protein secretion through the classical secretory pathways found in the extracellular space [76].
Galectin-1 is expressed during human embryogenesis, and many adult cell types express and secrete galectin-1 into the extracellular matrix [76]. Galectin-1 contributes to different events associated with cancer biology, including tumour transformation, proliferation, differentiation, cell cycle regulation, growth arrest, apoptosis, cell adhesion, migration, inflammation, and inhibition of full cell activation [77]. A previous study has shown that galectin-1 induced sustained exposure of phosphatidylserine on the cell surface in a carbohydrate-dependent fashion, but phosphatidylserine exposure is not associated with cell death by apoptosis and does not affect cell viability. There is evidence that galectin-1 contributes to tumour evasion of immune responses [78].
A positive correlation has recently been shown between galectin-3 expression and the degree of malignant transformation in certain types of cell lines, and the amount of galectin-3 expression is expected to possibly serve as an index of degree for neoplastic transformation, tumor cell survival, angiogenesis, tumor metastasis, and tumor malignancy [79, 80]. Recent studies have revealed that intracellular galectin-3 exhibits the activity to suppress drug-induced apoptosis and anoikis that contribute to cell survival. Resistance to apoptosis is essential for cancer cell survival and plays a role in tumor progression [81].
Moreover, both galectin-1 and galectin-3 expressions are necessary for the initiation of the transformed phenotype of tumors. Inhibition of galectin-1 expression can suppress the transformed phenotype of human glioma cells [82]. In addition, following the inhibition of galectin-3 expression, breast carcinoma cells and thyroid papillary carcinoma cells lose their transformed characteristic phenotypes in cell culture [83, 84].
Myotrophin, a 12 kDa protein consists of 117 amino acids, has a potential role in cerebellar morphogenesis and may be involved in differentiation of cerebellar neurons, particularly of granule cells, and associated with cardiac hypertrophy. It appears to be a primary modulator for myocardial cell growth and differentiation [85]. Myotrophin accelerates myocyte growth by stimulating protein synthesis and may be correlated with cardiac hypertrophy in the pathogenesis, where it is involved in the conversion of NF-κ B p50-p65 heterodimers to p50-p50 and p65-p65 homodimers as well as in the normal development of cardiac myocytes [86]. A previous study also indicated that myotrophin may be involved in the upregulation of myofibrillar protein and the activation of cardiac gene transcription during the growth and hypertrophy of myocardium; thus, the induction of early response of gene expression may be linked to this response [87].
The 132 proteins identified in this study may be involved in some biologic processes that are associated with cell differentiation, proliferation, and adhesion. We have tested some proteins incorporated into the medium; however, none of those proteins can solely induce cell differentiation. The results form a database with a diversity and relative abundance of various proteins found in the HNPE cell-secreted proteins. The database provides not only information on the nature of protein contents in HNPE cells but also potential proteins to be examined in further investigations.
4. Conclusions
In this study, we established the first secretome database for HNPE cells. The experimental results obtained by SDS-PAGE and nano-high performance liquid chromatography electrospray ionization tandem mass spectrometry (nano-HPLC-ESI-MS/MS) system revealed the identification of 132 unique proteins from HNPE cell secretome. Among these 132 proteins identified with higher confidence levels, some proteins have been reported involving in cell differentiation, such as thrombospondin-1, 2, 3 precursor, galectin-3-binding protein, neurogenic locus notch homolog protein 3, follistatin-related protein 1 precursor, sPARC precursor, peroxiredoxin-1, cofilin 1, profilin 1, galectin-1, and myotrophin. However, none of those proteins can induce cell differentiation solely. This list serves as a starting point for buildingup a comprehensive database of the proteome of this cell-line. The database can include diverse repertoires of proteins expressed by HNPE cells. All of this data will enhance our understanding of the molecular mechanisms involved in maintaining the differentiated states of HNPE cells and directing their differentiation and, in turn, will bring us closer to fulfill the vast clinical potentials of the cells.
In conclusion, we have demonstrated that RGC-5 cells upon coculturing with HNPE cell conditioned SF-medium developed a differentiated morphology and continued to express the necessary RGC markers. The differentiated RGC-5 cells would therefore be useful to study apoptotic pathways of retinal ganglion cell death. The findings from this study may have significant impacts on HNPE cell biology and cell engineering.
Acknowledgments
This paper was supported by research Grants Q097004 from the Kaohsiung Medical University Research Foundation, NSC96-2321-B-037-006, NSC-099-2811-E-224-002, and NSC97-2320-B-037-012-MY3 from the National Science Council, Taiwan.
Supplementary Materials
In Figure S1, MS/MS Fragmentation of SSFYVNGLTLGGQK found in PROF1_HUMAN, (P07737) Profilin-1 (M/Z 736.36, 2+).
In Figure S2, the cellular locations of 132 proteins synthetized were classified in this study. Assignments were made on the basis of information provided on the Swiss-Prot database at the ExPASy Molecular Biology Server. Some proteins were described to be from a different subcellular location, which explains the total sum being substantially larger than 100%.