Abstract
Although it is a rare neoplasm, intraosseous mucoepidermoid carcinoma is the most common and well-recognized intraosseous salivary gland tumor. Usually, it presents as an asymptomatic volume increase and most patients perceive the presence of the lesion within a year or less of evolution. They are more common in middle-aged adults and have a slight female predilection. They are three times more common in the mandible than in the maxilla and are most often found in the area of the molars and mandibular ramus. The most frequently present symptom is cortical bulging, although some lesions may be discovered as an accidental finding on radiographs. The main modality of treatment for patients with this neoplasm is radical surgical resection, offering a greater chance of cure than the more conservative procedures, such as enucleation or curettage, due to the great possibility of recurrence and tumor metastasis. This paper reports a rare case of intraosseous mucoepidermoid carcinoma occasionally discovered after panoramic radiography of the jaws, which was treated with segmental resection through hemimandibulectomy.
1. Introduction
Salivary carcinoma accounts for 3 to 4% of all head and neck cancers, and of these, mucoepidermoid carcinoma (MEC) is the most common type. MEC demonstrates highly variable clinical behavior, ranging from slow to indolent to locally aggressive and highly metastatic tumors. MEC occurs predominantly in the larger and parotid salivary glands. When it affects the minor salivary glands, it is most frequently found on the palate, followed by the retromolar gap, buccal mucosa, tongue, lips and floor of the mouth, sinuses, and larynx [1].
Intraosseous mucoepidermoid carcinoma is a rare neoplasm of the gnathic bones. Although theories have been proposed based on the neoplastic transformation of the epithelial mucosa of odontogenic cysts or ectopic salivary tissue, their origin is uncertain [2].
The main modality of treatment for patients with this neoplasm is radical surgical resection, offering a greater chance of cure than the more conservative procedures, such as enucleation or curettage. The rate of local recurrence associated with conservative treatment is 40%, contrasting with a rate of 13% for the more radical treatment. Metastases have been reported in about 12% of the cases [3].
The aim of the present article is to report a case of a patient with low-grade mandibular intraosseous mucoepidermoid carcinoma who was diagnosed after routine consultation and subsequently treated with resection through hemimandibulectomy.
2. Case Presentation
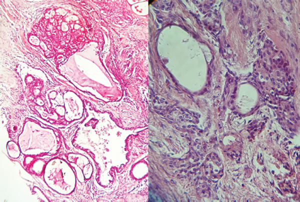
A 16-year-old male patient was referred by the orthodontist after a radiolucent lesion on the mandible was discovered after a panoramic X-ray of the jaws during orthodontic treatment, with approximately 4 months of evolution (Figure 1). At the extraoral physical examination, there were no signs of increased volume and/or facial asymmetry; at the intraoral examination, the lesion presented with lingual cortical expansion, mucosa with normal coloration, no dental displacement, and absence of painful symptomatology with negative aspiration puncture. At tomographic examination, the patient presented a multilocular hypodense image in the body region and right mandibular angle, associated with retained teeth 47 and 48, which was initially suggested to be an odontogenic cyst or another tumor. The patient did not present comorbidities and/or basic, nonsmoking, and nonalcoholic diseases. An incisional biopsy was performed on the affected area, and a histopathological report of low-grade intraosseous mucoepidermoid carcinoma was prepared (Figure 2). Immunohistochemical analysis of the lesion was performed through the CK-7 marker to confirm the diagnosis. According to the pathologist, mucin staining was performed for histology.


The surgical planning was segmental resection through the right hemimandibulectomy with a safety margin, from the right submandibular access with extension to the lower lip (Figures 3 and 4). Subsequently, the patient was submitted to radiotherapy in order to mitigate the chances of the lesion. The patient was followed for 2 years and has had no clinical evidence of relapse and/or metastasis (Figure 5).



3. Discussion
Mucoepidermoid carcinoma (MEC) usually arises from larger or smaller salivary glands and makes up 5% to 10% of all salivary gland tumors, whereas intraosseous glands comprise only 2% to 3% of all MEC and occur more frequently in the posterior region of the mandible [4].
Although the exact pathogenesis of this lesion is unknown, there are several current theories of its origin. The following may represent origins for these lesions: (a) ectopic salivary gland tissue: remnants of embryonic salivary glands trapped within the bone; (b) transformation of mucous cells found in odontogenic cysts; and (c) maxillary sinuses or submucosal and mucosal glands with intraosseous extension [5]. More recently, intraosseous salivary tissue has been found to be present in 0.3% of the bone specimens of all maxillary bones studied by Bouquot et al. [2], providing new evidence for the origin of intraosseous salivary carcinomas. Although its etiology is questionable, mandibular intraosseous MEC is an accepted entity [6].
Traditionally, mucoepidermoid carcinomas have been classified into three histopathological grades using the following criteria: quantity of cystic formation, degree of cellular atypia, and relative number of mucous, epidermoid, and intermediate cells. Low-grade tumors exhibit prominent cystic formation, minimal cellular atypia, and a relatively high proportion of mucosal cells. High-grade tumors consist of solid islands of squamous and intermediate cells, which may demonstrate considerable pleomorphism and mitotic activity. Mucus-producing cells may be infrequent, and sometimes, it may be difficult to distinguish the tumor from squamous cell carcinoma. However, those of intermediate-grade exhibit characteristics that are located between low- and high-grade tumors [3].
Intraosseous mucoepidermoid carcinomas are more common in middle-aged adults and have a slight preference for females. They are three times more common in the mandible than in the maxilla and are most often found in the area of the molars and mandibular ramus. The most frequently present symptom is cortical bulging, although some lesions may be discovered as an accidental finding on radiographs. Pain, trismus, and paresthesia are symptoms reported less frequently in these lesions. Metastases have been reported in 12% of the cases, often as a result of local tumor recurrence, mainly for regional lymph nodes and occasionally for the ipsilateral clavicle, lung, and brain. About 10% of the patients evolve to death [3, 7].
Imaging plays an important role in the detection and differentiation of MEC because of its sclerotic periphery and mixed internal structure, consisting of a unilocular and/or multilocular pattern with imaging characteristics similar to those of other lesions, including ameloblastoma, glandular odontogenic cyst, and keratocystic odontogenic tumour (Table 1). Panoramic radiography and conventional computed tomography (CT) are routinely used as diagnostic tools for evaluating the maxillofacial area [8].
It is described as a radiolucent image with well-defined scleral periphery and numerous small loculations. The presence of tooth dislocation and root resorption are common findings. Its aggressive behavior is revealed by cortical bone perforation and extension to surrounding soft tissues [9]. When the correlation between the clinical and histopathological diagnosis was analyzed, only 12.5% of the cases presented a correlation, so the final diagnosis should be based on clinical, radiographic, and histopathological characteristics [10]. Studies suggest that fine needle aspiration (FNA) is considered to be effective for high-grade or intermediate-grade but unsatisfactory for low-grade EMBs [4].
Surgery is the main form of treatment. In a review of 64 patients, Brookstone and Huvos observed 40% relapses after conservative surgical modalities such as enucleation, curettage, marsupialization, and marginal resection with or without adjuvant therapy, whereas in the group treated by radical methods such as segmental resection with or without adjuvant treatment associated with the neck, only 4% relapsed. Adjuvant therapy, such as radiotherapy and/or chemotherapy, is recommended for high-grade tumors [11, 12].
Lee et al. [13] provided both experimental and preclinical evidence that specificity protein 1 is an important regulator of MEC growth and is an effective target of apoptotic therapy. Dibenzylideneacetone significantly inhibited specificity protein 1 through the regulation of protein stability and modulated the expression of the proapoptotic proteins, Bim and truncated Bid, which are dependent on Sp1 protein [13].
4. Conclusions
Although it is a rare neoplasm, intraosseous mucoepidermoid carcinoma is the most common and well-recognized intraosseous salivary gland tumor. Metastases have been reported in 12% of the cases, and about 10% of the patients evolve to death, often as a result of local tumor recurrence. The present case shows that the clinical significance of these tumors should never be underestimated, emphasizing the importance of radical treatment, adjuvant therapy, and a careful histopathological evaluation of all excised tissue, so that such neoplastic transformation can be effectively identified and treated.
Conflicts of Interest
The authors declare that there is no conflict of interest regarding the publication of this article.