Abstract
An 18-year-old, male, castrated, captive-born leopard (Panthera pardus) presented to Colorado State University’s Veterinary Teaching Hospital with a two-week history of regurgitation. Thoracic radiographs and ultrasound revealed a well-differentiated cranioventral mediastinal mass measuring 7.5 × 10 × 5.5 cm, impinging the esophagus. A sternotomy followed by mass excision was performed. The mass was diagnosed as an ectopic thyroid carcinoma. The leopard recovered from surgery with minimal complications and returned to near-normal activity levels for just under 6 months before rapidly declining. He had an acute onset of severe dyspnea and lethargy and was euthanized. On postmortem examination the tumor was found to involve the lung, liver, thyroid, parietal pleura, bronchial lymph nodes, and the internal intercostal muscles. This case report describes the history, diagnosis, surgical treatment, postoperative care, and recovery as well as the eventual decline, euthanasia, and necropsy of a leopard with thyroid carcinoma. When compared to thyroid carcinomas of domestic animals, the leopard’s disease process more closely resembles the disease process seen in domestic canines compared to domestic cats.
1. Introduction
While it is difficult to estimate the number of captive big cats within USA, it is thought there may be between 10,000 and 20,000 kept in private facilities [1]. In addition to these numbers, there are approximately 1,000 within American Zoological Association accredited zoos (Denver Zoo, pers. Com.). Considering the population size of big cats in captivity, relatively little is known about the diseases they acquire and even less about the best course for medical intervention when compared to domestic animals. A retrospective study focused on the years 1979–2003, based out of Knoxville Zoological Gardens, determined there was a 51% incidence of neoplasia found at necropsy in their large cat collection, of which 27.7% was identified as the cause of death [2]. This was an increase from an older publication based out of Philadelphia Zoological Gardens that retrospectively reviewed postmortem records and found a 3.6% neoplastic incidence in their felid population between 1901 and 1934. Between the years 1935 and 1955, an incidence of 24.9% was found [3]. In both publications it was suggested that the increase of neoplastic processes over time may be attributed to a longer lifespan associated with better husbandry. Exposure to environmental carcinogens was also considered as a possible explanation [2, 3]. It may also be due, in part, to advancements in diagnostic technology.
With so many big cats in captivity and the increased incidence in neoplasia, it is critical to make known not only what maladies these animals acquire but also methods of diagnosis and the treatment protocols implemented, to help future animals that may be inflicted with a similar disease. In this case report we describe the patient history, diagnosis, surgical treatment, postoperative care, and necropsy findings of a geriatric, captive-born leopard (Panthera pardus) with thyroid carcinoma.
2. Case Presentation
The animal described in this case report was an 18-year-old, male, castrated leopard. In 2001 he became a resident of The Wild Animal Sanctuary (TWAS, 501c3 public nonprofit) in Keenesburg, Colorado, USA, where he remained for the duration of his life. There is no information in regard to the leopard’s genealogy. Prior to arrival at TWAS, the leopard lived in two different non-AZA accredited zoological parks. At TWAS, the leopard lived in an approximately 24 × 30 m outdoor habitat with four other leopards. The habitat contained 5 insulated concrete dens as shelter, 2 of which measure 2 × 3 m and 3 of which were round dens, 2 m in diameter. He was fed a commercial carnivore-specific diet manufactured by Triple A Brand Meat Company (Burlington, CO), as well as raw meat supplemented with Fresh + Oasis Feline T vitamins. Visual physical examinations were conducted daily by the animal keepers. At the end of February, 2012, the onset of regurgitation was observed in the leopard—which seemed to correlate with the rapid consumption of a whole chicken wing. Prior to this, the leopard had no major medical history and had always been apparently healthy. His caretakers began dicing raw meat into 1 cm cubes, of which he was able to keep down if fed small amounts, frequently. Episodes of regurgitation persisted for two weeks, and the leopard was brought to Colorado State University’s Veterinary Teaching Hospital (CSU-VTH) on March 7, 2012.
Upon presentation at CSU-VTH the leopard was quiet, alert, and responsive, with a body condition score of 4 out of 9, and weighed 40 kg. He was tranquilized using DAN-INJECT ApS (Sellerup Skovvej 116, Børkop, Denmark) in the right gluteal muscle with dexmedetomidine (0.015 mg/kg), ketamine (3 mg/kg), and midazolam (0.1 mg/kg) and maintained on isoflurane.
Initial diagnostics included a complete blood count (CBC) and biochemistry panel, thoracic and abdominal radiographs, and thoracic ultrasound. The CBC and biochemistry panel were within normal limits, using reference ranges for domestic house cats. Thoracic radiographs and ultrasound revealed a well-differentiated, cranioventral, mediastinal mass measuring 7.5 × 10 × 5.5 cm, impinging the esophagus and deduced as the cause of regurgitation. No abnormalities were seen on radiographs in the cervical region that might have suggested the thyroid glands were involved. A fine needle aspirate and cytology of the mass identified it as a carcinoma. Cells were small and cuboidal, with moderately basophilic and vacuolated cytoplasm and round nuclei with coarsely granular chromatin and inconspicuous nucleoli. Anisocytosis and anisokaryosis were moderate.
On the same day diagnostics were conducted, a medial sternotomy was performed. The leopard was not taken off general anesthesia during the interim between diagnostics and surgery. The mass was located between the cranial vena cava and external jugular veins—completely occluding the veins—and adhered to both the esophagus and trachea. Grossly, the mass appeared well circumscribed and highly vascular. It was dissected away from the surrounding tissue and removed from the chest cavity. The mass measured 10 × 10 × 13 cm (Figure 1). A chest tube was placed in the right ventrolateral thorax to remove fluid accumulation in the dead space formed by excision of the mass and to maintain negative pressure. A 10 mg fentanyl patch was placed between the shoulder blades. The chest tube was removed just prior to extubation. The leopard recovered from anesthesia with no complications and returned to TWAS the same day. Following surgery, the mass was submitted to the Colorado State University Veterinary Diagnostic Laboratories (CSU-VDL) where it was diagnosed as an ectopic thyroid carcinoma (Figure 2) with capsular and vascular invasion. It is believed that this was the tumor of origin and not metastasis from a tumor in the thyroid gland because of the large size of the tumor, coupled with the radiographically normal thyroid glands.


At TWAS, the leopard was kept in a small enclosure measuring 2 × 2 m within the on-site hospital, to closely monitor his postoperative progress. For two days following surgery he was quiet, alert, and responsive. He was given tramadol at 5 mg/kg PO q 24 hours as needed for pain management and ate small quantities of raw meat, frequently. There was mild hemorrhage and edema associated with the incision but no visible drainage or odor that may indicate infection. The fourth day after surgery the leopard had an episode described as a “frantic agonal breathing fit” by his caretakers. He was placed on oxygen and monitored. The tramadol was temporarily discontinued in case the episode was due to an adverse drug reaction. He had one additional episode of frantic breathing that was less severe than the first. The cause of these episodes was never determined, but pain or anxiety was suspected.
Eleven days after surgery the leopard was moved from the TWAS hospital to an outdoor enclosure, separate from the other leopards, measuring 4 × 30 m on the grounds. His caretakers continued to closely monitor his food intake, refrained from giving him any meat with bones, and cut the meat into small cubes. He made a near-full recovery with periodic episodes of regurgitation occurring every 2 to 3 weeks, usually coinciding with either excitement or when the caretakers attempted to increase the size of the meat cubes he received. Famotidine was prescribed, 0.5 mg/kg PO q 24 hours, for an indefinite period of time. Episodes of regurgitation decreased in conjunction with daily administration of famotidine. No additional medical treatment for the thyroid carcinoma was pursued.
On August 18, five and a half months after the initial surgery, the leopard’s condition began to decline; his appetite decreased and his caretakers noticed mild respiratory congestion. Clavamox 375 mg tablets PO SID for 11 days were initiated for possible respiratory tract infection. One week later the leopard became acutely anorexic and dyspneic. There was concern that there was metastasis to the lungs and he was humanely euthanized at TWAS on August 28. The carcass was brought to CSU-VDL for necropsy.
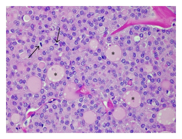
On postmortem examination, the left lobe of the thyroid gland was enlarged up to 2 times normal, measuring 4 × 2 × 2 cm. Upon cut section, the thyroid parenchyma was expanded and effaced by a poorly demarcated mass that was pale, homogenous, and slightly firm. The right lobe of the thyroid gland was not identified. Approximately 1L of serosanguinous fluid was present in the thoracic cavity and contained abundant fibrin tags which diffusely adhered to the adjacent visceral and parietal pleura. At the location of the previous surgery site, there was a regionally extensive area in which the left and right cranial lung lobes were adhered together by moderate to marked amounts of fibrous connective tissue, which was accompanied by moderate, segmental dilatation of the esophagus extending caudal to the cardiac sphincter. Throughout the lung lobes, greater than 50% of the pulmonary parenchyma was expanded and effaced by multifocal to coalescing pale, firm nodules ranging from 5 to 15 mm in diameter (Figure 3). Similar nodules were observed multifocally expanding the parietal pleura of the mediastinum, within the skeletal muscle of the internal intercostal muscles and throughout the liver. The bronchial lymph node was completely effaced by a mass with characteristics the same as previously described.

Upon histological evaluation, the left lobe of the thyroid gland was expanded and effaced by sheets and nests of neoplastic polygonal cells supported by a fine fibrovascular stroma and arranged in sheets and primitive follicular structures that lacked colloid (Figure 4). Neoplastic cells exhibited marked anisocytosis with varying amounts of eosinophilic cytoplasm. Nuclei were round to ovoid with 0–2 nucleoli and marked anisokaryosis. The mitotic index was approximately 10 per single high-powered field (400x). Large coalescing areas of coagulative necrosis were present throughout the neoplastic cell populations, characterized by areas of hypereosinophilic cellular debris and karyorrhectic nuclei. In addition, the normal tissue architecture of the lung (Figure 5), parietal pleura of the mediastinum, tracheobronchial lymph nodes, and liver were similarly effaced by neoplastic cells as previously described.


Based on gross and histological findings, disseminated thyroid carcinoma of the lung, liver, thyroid, and parietal pleura was diagnosed, with fibrinosuppurative and necrohemorrhagic pleuritis, serosanguinous pleural effusion, and megaesophagus.
3. Discussion
It is generally accepted that nondomestic felids resemble house cats in both their anatomy and physiology, and therefore the better defined disease processes of domestic cats are extrapolated back to nondomestic felids. In domestic cats thyroid adenomas and adenomatous hyperplasia are more common than carcinomas [4–8]. The thyroid is active in these cases and causes hyperthyroidism and heart disease [5]. Feline thyroid carcinomas are less common and account for 2% of hyperthyroid cases but may also be nonfunctioning [8]. They tend to be larger in size than their benign counterparts and may impinge the trachea or esophagus, resulting in dyspnea or dysphagia. Feline thyroid carcinomas are highly metastatic with metastasis most commonly seen in regional lymph nodes [5]. Treatment consists of surgical extraction or radioiodine therapy [5].
In contrast, thyroid carcinomas more commonly afflict domestic dogs, compared to adenomas [4–7]. The incidence of thyroid carcinoma in dogs 8 to 12 years is 1.1% and increases to 4.4% for dogs between 12 and 15 years. The most common presentation is a large, nonpainful mass in the cervical region with clinical signs secondary to the mass: dysphagia, dyspnea, dysphonia, and coughing. Tumors may also be associated with ectopic thyroid tissue and can occur anywhere from the base of the tongue to the base of the heart. The rate of metastasis on necropsy is 80%, with 15% to 38% of dogs already demonstrating metastasis on initial diagnosis. The incidence of metastasis correlates to the size of the primary tumor, with tumors less than 20 cm3 metastasizing less than 20% of the time and tumors greater than 100 cm3 metastasizing nearly 100% of the time [9]. The lungs are the most common site for metastasis, followed by the regional lymph nodes. Treatment options include surgery, radioiodine treatment, and medical management [5]. The pattern of disease seen in the leopard’s case more closely resembled a thyroid neoplastic process seen in a domestic dog compared to a domestic cat with the type of tumor being a carcinoma with metastasis to lungs and bronchial lymph nodes.
Although the leopard did not have thyroid levels tested, it is assumed that he had a nonfunctioning thyroid carcinoma. CBC revealed neither erythrocytosis nor excitatory leukogram, and his biochemistry panel lacked an increase in BUN, ALT, or AST—changes which may suggest hyperthyroidism. Furthermore, the leopard had no observed clinical signs of hyperthyroidism prior to surgery, such as polyphagia, weight loss, or polydipsia and polyuria. In addition to this, if the thyroid carcinoma had been functioning, the leopard may have displayed signs of hypothyroidism after excision of which he did not.
After surgical treatment for thyroid carcinoma, the leopard survived for 176 days. At the time of diagnosis he did not have any radiographic evidence of metastasis; however, there was widespread metastasis upon postmortem examination. Due to the rarity of feline thyroid carcinomas, it is not well documented what the life expectancy is for cats that have undergone treatment, but the average age of cats diagnosed with malignant thyroid neoplasms is 15.8 years [7]. The median survival times for dogs with thyroid carcinoma are variable within the literature, but they have been reported to be 2 weeks to 3 months [6]. Comparatively, the leopard lived longer than documented in domestic animals. This may be in part due to the stoic nature of wild-felids, allowing the leopard’s disease to be extensive without him demonstrating clinical signs and extending his survival time.
Thyroid carcinomas have been documented in two leopards, a lion (Panthera leo), a puma (Puma concolor), and a jungle cat (Felis chaus) [3, 10]. The cases in the leopards, lion, and puma occurred prior to 1950 and it was speculated that they may have been associated with a lack of dietary supplemental iodine [3]. The jungle cat had concurrent gastric adenocarcinoma, renal adenoma, and a Sertoli cell tumor found on necropsy after the animal was euthanized at the age of 23 for its poor condition and age [10]. The leopard was always given a large carnivore diet. Prior to TWAS the leopard’s diet consisted of Zupreem Exotic Feline Diet (Shawnee, Kansas), Nebraska Brand Feline Diet (Central Nebraska Packing, Inc., North Platte, NE), and horse meat. At TWAS his diet was specially formulated for large carnivores and both USDA and CDA regulated, and so it can be concluded that his neoplasia was not secondary to diet.
This leopard’s case is unique, not only because of the disease process but also because of the completeness of documentation in the medical progression. We were able to follow the course of disease from initial onset of symptoms to diagnosis, treatment, and eventual outcome of euthanasia and necropsy.
Conflict of Interests
The authors declare that there is no conflict of interests regarding the publication of this paper.
Acknowledgments
The authors would like to thank Pat Craig, staff, and volunteers at The Wild Animal Sanctuary for all they did for the leopard in this case report and what they continue to do for captive-bred large carnivores.