Abstract
Enteroaggregative Escherichia coli (EAEC) are quite heterogeneous category of an emerging enteric pathogen associated with cases of acute or persistent diarrhea worldwide in children and adults, and over the past decade has received increasing attention as a cause of watery diarrhea, which is often persistent. EAEC infection is an important cause of diarrhea in outbreak and non-outbreak settings in developing and developed countries. Recently, EAEC has been implicated in the development of irritable bowel syndrome, but this remains to be confirmed. EAEC is defined as a diarrheal pathogen based on its characteristic aggregative adherence (AA) to HEp-2 cells in culture and its biofilm formation on the intestinal mucosa with a “stacked-brick” adherence phenotype, which is related to the presence of a 60 MDa plasmid (pAA). At the molecular level, strains demonstrating the aggregative phenotype are quite heterogeneous; several virulence factors are detected by polymerase chain reaction; however, none exhibited 100% specificity. Although several studies have identified specific virulence factor(s) unique to EAEC, the mechanism by which EAEC exerts its pathogenesis is, thus, far unknown. The present review updates the current knowledge on the epidemiology, chronic complications, detection, virulence factors, and treatment of EAEC, an emerging enteric food borne pathogen.
1. Introduction
Diarrheagenic Escherichia coli (E. coli) are the most common bacterial pathogens implicated in diarrhea worldwide. Diarrheagenic pathotypes recognized to date include enterotoxigenic E. coli (ETEC), which are characterized by producing heat-labile or heat-stable or both enterotoxins, enterohaemorrhagic E. coli (EHEC), which are characterized by attaching-and effacing-(A/E) lesions and shiga-like toxin or verotoxins, enteropathogenic E. coli (EPEC), which elicit characteristic attaching and effacing lesions on the intestinal mucosa, enteroinvasive E. coli (EIEC), which has the ability to invade epithelial cells similar to Shigella and is characterized by the presence of a large invasiveness plasmid, diffusely adherent E. coli (DAEC) demonstrates pattern of diffuse adherence, and enteroaggregative E. coli (EAEC), which demonstrate a characteristic “stacked-brick” aggregative adherence when cultured with HEp-2 cells [1, 2]. Other diarrheagenic E. coli pathotypes have been proposed, such as cell detaching E. coli (CDEC). However, their significance remains uncertain [3]. EAEC is the most recently identified diarrheagenic E. coli. EAEC is increasingly recognized as an emerging enteric pathogen and cause of persistent diarrhea and malnutrition in children and HIV-infected persons living in developed countries. It is the second most common cause of traveler’s diarrhea, and is a common cause of acute diarrheal illness in children and adults presenting to emergency departments and inpatient units in the USA [4]. Finally, the USA National Institutes of Health has categorized EAEC as a category B potential bioterrorism agent [5, 6]. In the next section, we concisely review current knowledge on EAEC with a focus on epidemiology, chronic complications, detection, virulence factors, and treatment of EAEC.
2. Epidemiology
Recently, on the basis of meta-analysis by Huang et al. it was showed that EAEC is a cause of acute diarrheal illness among children residing in both developing and developed regions, adults and persons with HIV infection residing in developing regions, and travelers to developing regions in both developing and industrialized regions, showing that EAEC strains are relatively heterogeneous, and limited numbers of studies were available that examined the independent roles of the many putative EAEC virulence genes in acute diarrheal illness [7]. A growing number of studies have supported the association of EAEC with persistent diarrhea in developing countries [8, 9]. A study from Brazil identified EAEC infection as the most common cause of diarrhea in small children, and was found to be more frequently associated with diarrhea in children less than 2 years of age [10]. The increasing number of such reports and the rising proportion of diarrheal cases in which EAEC are implicated suggest that EAEC are important emerging agents of pediatric diarrhea. Other European studies in children also indicate that EAEC may be a leading cause of diarrheal disease in developed countries [11, 12]. The involvement of EAEC with outbreaks of acute diarrhea affecting newborns and children were reported in industrialized countries [13]. In a Serbian neonatal ward an outbreak of EAEC diarrhea was described where 19 babies were affected and 3 developed weight loss and pyrexia [14]. Several other outbreaks both in children and in adults have been described in the UK [15], and France [16].
EAEC is the second most common bacterial pathogen isolated in US adult traveler’s to developing countries and deployed US military personnel [17, 18]. In a study of adult US traveler’s to Mexico that evaluated the serologic response to the EAEC antiaggregative protein dispersin, 48% of traveler’s developed increases in antibody response over time; the majority of patients, though, remained asymptomatic [19]. EAEC have been described in large case series in Europe, UK, Switzerland, and Japan in cohort studies of children, adults, HIV-infected persons, and international travelers to developing regions who were associated with acute diarrheal illness [11, 20]. Recent studies have identified EAEC in HIV patients with persistent diarrhea [4, 21].
A study of Mexican tabletop sauces identified 44% of sauces from Guadalajara, Mexico, to contain viable EAEC, compared to 0% of sauces in restaurants in Houston, Texas [22]. In Italy, two consecutive EAEC outbreaks affecting 24 individuals were linked to contaminated unpasteurized cheese [23]. In the largest reported outbreak so far, 2697 (40.6%) Japanese children who consumed infected school lunches had severe diarrhea and EAEC was found in 10% of cases [24]. Food is also a vehicle of transmission of EAEC infection and interestingly, EAEC was more likely to be isolated from food than other bacterial pathogens, including ETEC [25].
3. Clinical Manifestations and Chronic Complications
Although not all EAEC infections result in symptomatic illness, the most commonly reported symptoms are watery diarrhea with or without blood and mucus, abdominal pain, nausea, vomiting, and low-grade fever [22]. EAEC can cause both an acute and a chronic (14 days) diarrheal illness. Electron microscopy of infected small and large-intestinal mucosa, from children between 3 and 190 months, cultured with several different EAEC strains, reveals bacteria in a thick mucus layer above the intact enterocyte brush border [26, 27]. In the colon, EAEC elicits inflammatory mediators and produces cytotoxic effects such as microvillus vesiculation, enlarged crypt openings, and increased epithelial cell extrusion [28]. Numerous putative virulence factors, a yersiniabactin system, a complex carbohydrate-specific lectin [29], enterotoxins and cytotoxins have been identified. The gnotobiotic piglet model could be useful in studying diarrheagenicity and ultrastructural damage caused by EAEC where germ-free piglets infected with EAEC showed hyperaemia and swelling of the villi of the small intestine. In vitro organ culture of human colonic biopsies probably provides the closest parallel to human infection and has provided valuable insights to pathogenicity [30]. Malnourished hosts, especially children living in developing countries, may be unable to repair mucosal damage, and thus may become prone to persistent or chronic diarrhea [22]. Perhaps even more significant than the association of EAEC with persistent diarrhea are the data from Brazil [31] that link EAEC with growth retardation in infants. The isolation of EAEC from the stools of infants was associated with a low z-score for height and/or weight irrespective of the presence of diarrheal symptoms. Undoubtedly diarrhea is the commonest cause impairing the growth of a large population of children in India [32].
Several studies have suggested that patients infected with EAEC manifest intestinal inflammation, in which the presence of fecal lactoferrin and proinflammatory cytokines, notably interleukin (IL)-8, is observed [33]. It is observed that even asymptomatic carriage of EAEC strains can result in evidence of low-level enteritis [31]. The myriad variations of clinical symptoms of EAEC infection are due to factors such as host genetic susceptibility, host immune response, heterogeneity of virulence among EAEC strains, and the amount of bacteria ingested by the infected host [22]. EAEC has been associated with chronic diarrhea and malnutrition in children of developing countries and individuals with HIV infection [18]. In a study in Poland, acute episode of bacterial diarrhea by EAEC can result in the development of postinfectious irritable bowel syndrome (IBS) [34]. However, the pathogenic role of EAEC, if any, in the development of IBS has not yet been elucidated.
4. Identification and Diagnosis
The identification of EAEC depends on the characteristic “stacked-brick” aggregative adherence when cultured in static Luria broth at 37°C and incubated for 3 hours in HEp-2 cells [1]. Majority of the HEp-2 positive strains were also positive for the antiaggregation protein transporter gene by PCR [35]. However, in another study it was found that 10% of the EAEC strains verified by HEp-2 assay were negative in the PCR assay clearly provided an evidence to show that it is difficult to provide a genotypic definition for EAEC and design specific molecular biological assays for detection [36, 37]. The HEp-2 cell adherence assay is currently performed only in research settings, and is labor intensive. A clump formation test has also been described to be useful in the identification of EAEC [38]. Several attempts have been made to develop a molecular biological assay for the identification of EAEC. A cryptic DNA fragment sequence known as “CVD432,” or aggregative adherence (AA), from the pAA has been used as an EAEC molecular marker in epidemiological studies and comprises the locus att that encodes an ABC transporter system [39, 40]. A transcription activator known as “AggR,” the gene of which lies on pAAs, has been described as the major EAEC virulence regulator for diverse virulence genes [41].
Recently, some epidemiological studies have suggested that CVD432-positive strains, which are predicted to carry the AggR regulon, are the true EAEC pathogens termed “typical EAEC” [37, 42]. However, AA probe-negative strains share virulence factors with AA probe positive isolates, which clearly indicate that additional factors are involved in the AA phenotype in these EAEC strains [43]. The problems in identification of EAEC have been clearly highlighted very recently where the authors set up a multiplex PCR targeting three different genes: (i) the antiaggregation Aap transporter gene, (ii) the EAST gene, and (iii) a chromosomal gene present in the pheU pathogenicity island designated aggR-activated island [37]. In this study, 143 EAEC strains were analyzed and 128 (90%) were positive for the antiaggregation protein (Aap) transporter gene [37]. However, 10% of the strains verified by HEp-2 assay were negative in the PCR assay. This makes it difficult to provide a genotypic definition for EAEC and to design specific molecular biological assays for the detection of this pathotype.
The CVD432+ strains were associated with persistent diarrhea in children younger than 12 months of age. However, in children older than 12 months of age, the genotype associated with protracted diarrhea was CVD432+EAST1+ statistically associated only with acute diarrhea in both age groups [44]. The loss of the positive correlation of EAST1+ strains with diarrhea may be associated, in part, with the immature stages of intestinal development [44]. Recently, a study demonstrated that EAEC bacterial DNA can be recovered from dry fecal occult blood detection cards by PCR. This may be of use when collection and transportation of fecal samples from the field to the laboratory is difficult [45]. A problem with using DNA probes for EAEC demonstrates heterogeneity and no single study has been able to demonstrate a 100% correlation with the HEp-2 cell assay [46].
Biofilm assay is also useful in screening when a large number of strains are examined in clinical and epidemiologic studies. All EAEC strains in this study demonstrated an OD570 0.2 in the assay, and the incidence of EAEC among the strains with an was 89.2% [38, 47, 48]. Furthermore, the test may be available without a spectrophotometer, since a biofilm demonstrating an is clearly visible. In addition, this assay may contribute to demonstrating of the true incidence of EAEC with and without AggR among clinically isolated E. coli strains. Of the 28 PCR-positive (AggR and EAST) strains screened for biofilm, 25 (89.2%) demonstrated positive results by microtiter plate method.
Recently, sera from children (control group) living in an endemic area show no antibody response to Pet but that those from children with diarrhea caused by EAEC showed high titers of antibody against this toxin [49]. In addition, rabbit antiPet sera recognized 50% of the EAEC strains recovered from stools after culture supernatant concentration by immunoblotting [49]. The emergence of EAEC infection in Brazil [50] and the detection complexity of Pet expressing EAEC isolates led to the development of a methodology for Pet detection directly from supernatants of bacterial isolates using a slot blot immunoassay [51]. Other proposed diagnostic tests include an enzyme-linked immunosorbent assay (ELISA) for quantitative detection of secretory immunoglobulin A to EAEC [52] and cytokine response patterns to enteropathogens in which a specific pattern may become a distinguishing pathogen signature [33]. More studies and better diagnostic tools are needed to allow for a better understanding of the true epidemiology of EAEC in children.
Serotyping of EAEC is a problem due to their aggregative phenotype, many of the strains auto-agglutinate and is often described in the literature as nontypable or as O-rough. EAEC from German children demonstrated 14 typable isolates and all belonged to different serotypes [53]. In another study in UK, 97 EAEC strains were serotyped to 40 different O-types. In one of the studies, 93 out of 143 EAEC strains could be serotyped and belonged to as many as 47 different serotypes [37]. Serotyping is really no longer useful in the diagnosis of diarrheagenic E. coli infections.
5. Pathogenesis
The pathogenesis of EAEC is really complex as strains are relatively heterogeneous. The best-studied virulence factor is AggR, the master regulator of EAEC virulence, which controls expression of adherence factors, a dispersin protein, and a large cluster of genes encoded on the EAEC chromosome [41]. EAEC pathogenesis involves three stages: (1) adherence to the intestinal mucosa by aggregative adherence fimbriae (AAF) and adherence factors, (2) increased production of mucus that encrusts EAEC on the surface of enterocytes; and (3) release of toxins and elicitation of an inflammatory response, mucosal toxicity, and intestinal secretion [28, 41].
AggR regulates the expression of a secreted low-molecular weight protein known as dispersin (aap) which has been identified in 80% of EAEC isolates from one laboratory [54]. Dispersin is responsible for mediating an antiaggregation phenotype by inducing changes in the outer membrane polarization of the bacterial cell, which requires an ABC transporter system encoded by the att [55]. In a volunteer challenge study, dispersin has been demonstrated to be highly immunogenic, suggesting that it is a potential vaccine candidate [56]. Unlike dispersin, a separate transporter located in the outer membrane protein (OMP) called TolC, which is encoded by the AatA and has also been associated with the secretion of a yet to be characterized factor that contributes to aggregation [57]. Multidrug resistance efflux pumps including the AcrAB-TolC system have been reported to be associated with the colonization and persistence of bacteria in the host and to have roles in bacterial pathogenicity [58, 59]. One study suggested that strains possessing CVD432 and EAST-1 virulence markers are most commonly associated with chronic diarrhea in children [60]; whereas another study suggested that strains possessing aggR, aap, and astA (which encodes for EAST-1 protein) are most commonly associated with acute diarrhea in adults [61].
EAEC adherence to the intestinal mucosa requires fimbrial structures called aggregative adherence factors (AAF) [62]. Although three fimbriae encoded by the pAA plasmid are aggA (AAF/I), aafA (AAF/II), and agg-3 (AAF/III), each EAEC isolate carries only one AAF subtype. aggA is responsible for the aggregative phenotype and human erythrocyte haemagglutination of EAEC [63]. aafA allows EAEC to adhere to the intestinal mucosa [64]. agg-3 functions as an adhesin [65]. Three membrane-associated proteins (MAP), of 18, 20 and 58 kDa, are believed to play an important role in EAEC adherence to and haemagglutination of animal cells [66]. One study has characterized the OMP profiles of EAEC strains from children with diarrhea from Sao Paulo, Brazil, and has observed a heterogeneity in OMP profiles [66]. The binding of EAEC fimbriae to the extracellular matrix proteins fibronectin, laminin, and type IV collagen is an initial step in adherence to the intestinal mucosa [67].
Certain strains carry a high molecular weight plasmid associated with the aggregative adherence on which a number of virulence genes are located [68]. Furthermore, a serine protease involved in the colonization process (Pic) is encoded by the chromosome from strain 042 [30, 69]. Other virulence factors that are believed to be associated with EAEC are 18 and 30 kDa outer membrane adhesins [70, 71]. Recently, two de novo OMP of sizes 41 kDa and 48 kDa demonstrated significant cross reactivity with known adhesins were observed in EAEC at pH 4.0 [72, 73]. However, some EAEC strains with “stacked-brick” aggregative adherence lack AAF, suggesting the presence of other adhesion mechanisms. A novel aggregative adhesion pilin has recently been demonstrated in EAEC strains lacking known AAF. This novel adhesion pilin is encoded by hdaA, also regulated by the AggR regulon [74], is distantly related to the Dr family of adhesins. Undoubtedly, other potential AAF and adherence factors exist, and need to be explored.
In addition, different pathogenicity islands have been identified within the EAEC group, including Shigella she pathogenicity island, containing enterotoxin and mucinase genes [69], and Yersinia high-pathogenicity island, containing the yersiniabactin siderophore gene [75]. pheU pathogenicity island in the chromosome of EAEC is regulated by AggR [76]. A few EAEC carry the haemolysin-pyleonephritis associated pili island associated with extraintestinal E coli and show a cell-detaching-aggregative phenotype on HEp-2 cells [77]. EAEC strains frequently have toxin genes located on the chromosome, where genes involved in iron capture, such as irp2 and fyuA, were also found [78]. A pathogenicity island, the locus for proteolysis activity, is also present in some EAEC [79]. Recently, a novel secretion system, called type VI secretion (T6S) system (T6SS) present on the pheU pathogenicity island with two copies of T6S gene clusters, called sci-1 and sci-2 has been reported in EAEC [80]. sciN is a critical gene necessary for T6S-dependent secretion of the Hcp-like SciD protein and for biofilm formation [80].
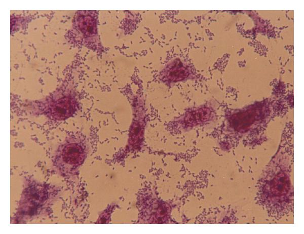
The second stage of EAEC pathogenesis involves adherence to the mucosa characterized by the presence of a thick, aggregating biofilm [48]. Animal and in vitro culture studies demonstrate that EAEC survives within the mucus layer, explaining why individuals infected with EAEC, especially children in developing countries with pre-existent malnutrition, may develop mucoid stools, malnutrition, and persistent colonization with prolonged diarrhea. However, the mucus layer and biofilm possibly do not explain malnutrition in affected children. This is because, for the biofilm to impair nutrient absorption, it would have to cover most of the small intestinal mucosa, but there is no evidence that this actually occurs. It is more likely that inflammatory responses or altered intestinal microbiota are primarily responsible. One study has identified biofilm production in 48 of 62 (77%) EAEC strains from Japanese children with diarrhea, using a quantitative biofilm assay, suggesting that this assay may be a useful and convenient screening tool for EAEC [48]. Recently, Pic protease has been reported in intestinal colonization and growth of EAEC [81]. The production of biofilm is also regulated by AggR and requires several genes, including Fis, which codes for a DNA-binding protein involved in growth regulation, and yafK, which codes for a 28-kDa protein [82]. EilA, a HilA-like regulator, and air, encoding the predicted OMP in EAEC chromosome, are associated with biofilm formation [83]. Recently, a gene coding for the 32.8-kDa Shf protein has been localized in one of the three open reading frames between aafC and aatA, and has also been implicated in biofilm formation [84]. However, loss of biofilm formation and diffuse adherence pattern was observed in EAEC at pH 4.0 whereas at pH 7.4, typical aggregative adherence pattern was observed (Figure 1) [72, 73].

The third stage of EAEC pathogenesis involves the cytotoxic effects by release of toxins and an elicitation of the inflammatory response, mucosal toxicity, and intestinal secretion [42]. Both animal and human studies demonstrate that EAEC toxins are destructive to the tips and sides of intestinal villi and enterocytes. There are to date, three toxins described in EAEC; the plasmid encoded toxin (Pet), a serine protease autotransporter that cleaves alpha III spectrin within the cytoskeleton of the epithelium, resulting in cell elongation and exfoliation [85], a heat-stable toxin (EAST1) encoded by astA gene [44], and Shigella enterotoxin 1 (ShET1), which shares similarities with Shigella enterotoxin.
The major obstacle in identifying the mechanism of pathogenesis for EAEC is the diversity and to a certain extent heterogeneity of strains [32, 86]. The heterogeneity of EAEC provides some explanation for the failure of some studies to associate these strains with disease and suggests that only a subset of EAEC strains are pathogenic for humans. EAEC has been clearly associated with diarrhea in some individuals; but in many others, EAEC strains appear to cause subclinical infections or intestinal colonization. These bacteria exert a complex pathogen-host immune interaction where the host inflammatory response to EAEC infection is dependent on the host innate immune system and the EAEC strain. EAEC carrying “virulence” genes are not always associated with disease; however, virulence factors are associated with increased levels of fecal cytokines and inflammatory markers, such as interleukin (IL)-1ra, IL-1, IL-8, interferon (INF)-, lactoferrin, fecal leukocytes, and occult blood [5, 87]. IL-8 is an important proinflammatory chemokine involved in EAEC pathogenesis and is responsible for recruiting neutrophils to the epithelial mucosa without mucosal injury, and facilitates intestinal fluid secretion [88].
Clinical manifestations of EAEC diarrhea vary from individual to individual, depending upon the genetic composition of the host [89]. The presence of an AA genotype at the −251 position in the IL-8 promoter region homozygous for a single nucleotide polymorphism (SNP) produces higher levels of fecal IL-8 and more frequently develops symptomatic EAEC diarrhea than those heterozygous for the gene after exposure to EAEC [89, 90]. In addition to IL-8, intestinal epithelial cells infected with EAEC 042, the prototype strain, upregulate the expression of IL-6, tumor necrosis factor (TNF)-, growth-related gene product (GRO)-, GRO-, intercellular adhesion molecule (ICAM)-1, granulocyte macrophage colony-stimulating factor (GM-CSF), and IL-1. These cellular responses are primarily mediated by flagellin (fliC), a major bacterial surface protein of EAEC [28], whichcauses IL-8 release by binding to Toll-like receptor 5 (TLR5). TLR5 signals through P38 mitogen-activating protein kinase (MAPK) and nuclear factor-kappa B (NF-κB) induce transcription of pro-inflammatory cytokines from monocytic cells. In addition, SNPs in regulatory and codon regions of a number of other cytokine genes such as TNF-, IL-1, IL-1ra, IL-4, and IL-6 have been shown to have an impact on the type of immune response [91].
6. Treatment and Prophylaxis
As with other self-limiting infections, the decision to use antibiotic therapy should be done on an individual basis [90] and the antibiotic selection depends on the local antimicrobial susceptibility patterns. In most regions of the world, EAEC strains are susceptible to fluoroquinolones, azithromycin, rifaximin, amoxycillin/clavulanic acid, and nalidixic acid [92, 93]. One study suggests that integrons that include the dfrA5, aadA1a, drA13, and oxa5 cassette may be responsible for antibiotic resistance in EAEC [94]. The association of EAEC with persistent disease makes this syndrome less amenable to management with oral rehydration therapy alone, and thus the development of preventive strategies, including vaccination, would be a high priority for areas in which this disease commonly occurs. Surprisingly, there is only one reported randomized trial for the eradication of EAEC diarrhea in HIV/AIDS patients, but none has been done in children or other populations [95]. Recently, a vaccine trial to prevent ETEC diarrhea using ETEC heat-labile toxin as an antigen demonstrated that by preventing ETEC associated diarrhea the rates of infection due to other enteric pathogens, including EAEC, decreased [96]. Candidates under investigation as potential critical antigens include the AAF fimbriae and the dispersin protein coat, which might be a promising EAEC immunogen. Additional studies and better diagnostic tools are needed to allow an understanding of the true epidemiology of EAEC.
Lactoferrin purified from human milk (Sigma-Aldrich Co., St. Louis, MO), recombinant human lactoferrin (Agennix, Houston, TX), and bovine lactoferrin (Tatua Cooperative Dairy Co., Morrinsville, New Zealand) inhibit the aggregative adherence “stacked-brick pattern” of EAEC in tissue cultured cells [97]. Bovine lactoferrin also inhibited EAEC biofilm formation and increased autoagglutination, further suggesting that surface adhesins were affected. In another study, histidine tagged dispersin and the surface fimbria (AAF-II) showed lactoferrin-induced loss and degradation of AAFII but not of dispersin [97]. A clinical trial of 298 Japanese children less than 5 years of age showed that daily consumption of 100 mg of bovine lactoferrin-containing products (Morinaga Milk Industry Co., Tokyo, Japan) versus placebo for 3 months had no effect on the incidence of rotavirus gastroenteritis; however, there was a significant lower frequency and duration of vomiting and diarrhea in the lactoferrin group () [98]. A study of 140 Peruvian children with acute watery diarrhea and dehydration showed that adding recombinant human lactoferrin and lysozyme (Ventria Bioscience, Sacramento, CA) to oral rehydration solution reduced the duration of diarrhea and relapse after 48 hours (9% vs. 19%) [99]. Lactoferrin has been demonstrated in vitro to be able to inhibit EAEC enteroadhesion and biofilm formation; however, it is not yet clear whether lactoferrin as a nonantibiotic approach is effective for the treatment and prophylaxis of EAEC [100]. In addition, IL-8 genotypes may define populations likely to benefit from therapeutic intervention such as prophylactic antibiotics and vaccines.
7. Conclusion
In recent years there has been significant progress in our knowledge of the epidemiology, pathogenesis, detection, treatment, prevention, and possible chronic complications of EAEC. EAEC is an increasingly recognized cause of acute and chronic diarrhea among children, adults, and HIV-infected persons. EAEC has been responsible for diarrhea in a volunteer study and in numerous outbreaks and case-control studies from both the developing and the developed worlds [77]. The HEp-2 cell adherence assay remains the gold standard for EAEC identification. One of the major difficulties in identifying the mechanism of pathogenesis for EAEC is the diversity and to certain extent heterogeneity of EAEC strains. No virulence factor has been identified as common to all EAEC strains. This pathogen is being underestimated and underdiagnosed. EAEC pathogenesis is a complex host-pathogen interaction that involves host genetic susceptibility, heterogeneity of virulence among EAEC strains, and the amount of bacteria ingested by the infected host. EAEC infections are usually self-limiting, and should be managed on an individual basis. Greater recognition of EAEC infection likely will occur with the development of better diagnostic tools, which likely will yield identification of epidemiologic patterns of illness and the development of new treatment recommendations.
Abbreviations
| A/E: | attaching and effacing |
| AA: | aggregative adherence |
| AAF: | aggregative adherence fimbriae |
| Aap: | antiaggregation protein |
| Caco-2: | human colonic adenocarcinoma cells |
| CDEC: | cell detaching E. coli |
| DAEC: | diffusely adherent E. coli |
| E. coli: | Escherichia coli |
| EAEC: | enteroaggregative E. coli |
| EAST1: | EAEC heat-stable enterotoxin 1 |
| EHEC: | enterohaemorrhagic E. coli |
| EIEC: | enteroinvasive E. coli |
| ELISA: | enzyme-linked immunosorbent assay |
| EPEC: | enteropathogenic E. coli |
| ETEC: | enterotoxigenic E. coli |
| fliC: | flagellin |
| GM-CSF: | granulocyte macrophage colony-stimulating factor |
| GRO: | growth-related gene product |
| HEp-2: | human laryngeal epithelial cell line |
| HIV: | human immunodeficiency virus |
| IBS: | irritable bowel syndrome |
| ICAM: | intercellular adhesion molecule |
| IL: | interleukin |
| INF-: | interferon- |
| MAP: | membrane-associated proteins |
| MAPK: | mitogen-activating protein kinase |
| NF-κB: | nuclear factor-kappa B |
| OMP: | outer membrane protein |
| QD: | once daily |
| PCR: | polymerase chain reaction |
| Pet: | plasmid-encoded toxin |
| Pic: | protease involved in colonization |
| RITARD: | reversible ileal-tie in adult rabbit diarrhea |
| ShET1: | Shigella enterotoxin |
| SNP: | single nucleotide polymorphism |
| T84: | human colorectal adenocarcinoma cells |
| TLR: | Toll-like receptor |
| TNF: | tumor necrosis factor. |
Acknowledgments
This work was supported in part by Senior Research Fellowship from the Indian Council of Medical Research (ICMR), New Delhi, India (to P. Kaur), the National Institutes of Health Grant no. RO1CA91889, institutional support from Scott & White Memorial Hospital and Clinic, Texas A&M University System Health Science Center College of Medicine, the Central Texas Veterans Health Administration, and an Endowment from the Cain Foundation (to A. Asea).