Abstract
Chlamydophila pneumoniae is an intracellular pathogen responsible for a number of different acute and chronic infections. The recent deepening of knowledge on the biology and the use of increasingly more sensitive and specific molecular techniques has allowed demonstration of C. pneumoniae in a large number of persons suffering from different diseases including cardiovascular (atherosclerosis and stroke) and central nervous system (CNS) disorders. Despite this, many important issues remain unanswered with regard to the role that C. pneumoniae may play in initiating atheroma or in the progression of the disease. A growing body of evidence concerns the involvement of this pathogen in chronic neurological disorders and particularly in Alzheimer's disease (AD) and Multiple Sclerosis (MS). Monocytes may traffic C. pneumoniae across the blood-brain-barrier, shed the organism in the CNS and induce neuroinflammation. The demonstration of C. pneumoniae by histopathological, molecular and culture techniques in the late-onset AD dementia has suggested a relationship between CNS infection with C. pneumoniae and the AD neuropathogenesis. In particular subsets of MS patients, C. pneumoniae could induce a chronic persistent brain infection acting as a cofactor in the development of the disease. The role of Chlamydia in the pathogenesis of mental or neurobehavioral disorders including schizophrenia and autism is uncertain and fragmentary and will require further confirmation.
1. Introduction and Background
Chlamydiae were taxonomically categorised into their own order Chlamydiales, with one family, Chlamydiaceae, and a single genus,Chlamydia which included four species: C. trachomatis, C. pneumoniae, C. Psittaci, and C. pecorum. Two of the species, C. trachomatis and C. pneumoniae, are common pathogens in humans, but the routes of transmission, susceptible populations, and clinical presentations differ markedly. The other species occur mainly in animals although C. psittaci may be also implicated in human respiratory diseases. In 1999, a new taxonomic classification was proposed, renaming Chlamydia pneumoniae as Chlamydophila pneumoniae [1]. However, the proposal to change the taxonomic nomenclature for the Chlamyadiaceae family has not been universally accepted and both names are currently in use by different authors.
C. pneumoniae, a common cause of human respiratory disease, was first isolated from the conjunctiva of a child in Taiwan in 1965 but it was not until the early 1980s that it was scientifically identified as a distinct Chlamydia species and was established as a major respiratory pathogen in 1983 when it was isolated from the throat of a college student at the University of Washington. Most likely, C. pneumoniae is primarily transmitted from human to human by the respiratory tract without any animal reservoir [2, 3] and infection spreads slowly. The incubation period is several weeks, which is longer than that for many other respiratory pathogens [4]. The time span of infection spread in families is shorter, however, ranging from 5 to 18 days [5]. As other Chlamydia species, C. pneumoniae has a unique biphasic life cycle with two forms that are functionally and morphologically distinct that undergo an orderly alternation: the elementary body (EB), infectious and metabolically inactive responsible for attaching to the target host cell and promoting its entry and the reticulate body (RB), an abortive non-infectious and metabolically active intracellular form which replicates by binary fission and reorganizes into EBs then released by cell lysis. In general, it is likely that this aberrant developmental step leads to the persistence of viable but non cultivable Chlamydiae within infected cells over long periods. In cell culture conditions, the duration of the developmental cycle is between 2 and 3 days, depending on the strain, when bacteria have differentiated back to EBs and are released in the extracellular medium. In natural infections, the situation is more complicated, and the normal development of Chlamydia is easily disturbed. Living separated from the host cell cytoplasm within its Chlamydial inclusion (a nonlysosomal vacuole), C. pneumoniae is able to create an intracellular niche from where it promotes host cell survival or death, modulates regulatory host cell signalling pathways, and bypasses the host cell’s defence mechanisms. Thus, C. pneumoniae can induce a persistent infection due to the inability of the host to completely eliminate the pathogen [6–8]. The failure by the guest to eradicate the disease involves the establishment of a state of chronic infection in which C. pneumoniae after internalization into mononuclear cells, enters into a state of quiescence with intermittent periods of replication and characterized by antigenic variation, production of Heat Shock Proteins (HsPs) and proinflammatory cytokines capable of evading host defences and trigger tissue damage [8]. Chronic infection and clinical persistence are closely related. In chronic infections a different pathway is taken. Under pressure from host defences the metabolic processes of the organism are diminished. C. pneumoniae in this state is called the Cryptic Body (CB). This chronic unresolved infection, which can last for several decades, can also initiate the malign process of autoimmunity. To a large extent, the form of the disease may depend on the host’s genetic inheritance. This is why many of the chronic disease forms caused by infections with C. pneumoniae tend to have inherited characteristics. It is thought that the host immunity together with individual traditional risk factors, serological markers of C. pneumoniae infection and genetic susceptibility, may play an important role in controlling Chlamydial infections. A chronic C. pneumoniae infection increases the expression of its own 60 kDa heat shock proteins (HsP60), especially when they are persistently elevated. The host immune response to microbial HsP60 may gradually lead or, contribute to autoimmunity to human HsP60 and, consequently, to the development of some chronic diseases such as asthma [9] atherosclerosis or clinical manifestations of Coronary Hearth Disease (CHD) [4, 9–14]. Definitive pathogenesis and virulence investigations for the Chlamydiae have been hampered because methods for gene transfer have not yet been developed for these microorganisms. Despite this critical experimental limitation, a great deal of information has been generated on intracellular Chlamydial growth and development, and the effects of chlamydial infection on host-cell physiology [15]. Like most intracellular pathogens, C. pneumoniae interferes with the normal apoptotic signalling pathways of these cells, perhaps contributing to long-term persistence and chronic inflammation in central nervous system (CNS) system. However, it is not clear how this happens: under some circumstances these microorganisms induce apoptosis and/or necrosis, but under other circumstances they inhibit apoptosis [15, 16]. The circumstances that dictate whether the Chlamydiae inhibit or activate host-cell death reflect several important pathogenic considerations, including whether an acute or chronic infection is in progress and whether intracellular chlamydial growth is programmed to go through a productive infectious cycle or is stalled under non-productive growth conditions [16]. The intracellular growth cycle of the Chlamydiae is complex and several growth options are possible, depending on the host-cell type, the particular environmental conditions in the host cell and the nature of the tissue that is being affected. It is possible that apoptotic activity is controlled to some extent by the intracellular growth status of the Chlamydiae, which can be influenced by any or all of these considerations [16].
Data on the distribution of seroprevalence reveal that the prevalence of C. pneumoniae infection increases with age. Antibodies against C. pneumoniae begin to appear at school age but are rare in children under the age of 5, except in developing and tropical countries. Antibody prevalence increases rapidly at ages 5 to 14, reaches 50% at the age of 20, and continues to increase slowly to 70% to 80% at ages 60 to 70 [4]. This seems to suggest that most people are infected and re-infected for life. C. pneumoniae accounts for 6%–20% of community acquired pneumonia (CAP) in adults [3, 4], but participates in co-infection involving other bacterial agents in approximately 30% of adult cases of CAP [4]. Some studies have suggested a possible association of C. pneumoniae infection and acute exacerbations of asthma and chronic obstructive pulmonary diseases (COPD). In recent years, however, in addition to respiratory diseases, an increasing number of publications have been reported of detection of C. pneumoniae in chronic extra-respiratory diseases. In fact, the recent deepening of knowledge on the biology of Chlamydia and the use of increasingly more sensitive and specific molecular techniques, have allowed to demonstrate the presence of C. pneumoniae DNA in a large number of persons suffering from different diseases other than cardiovascular (atherosclerosis and stroke), such as osteoarthritis and CNS disorders. In this setting, the ability of C. pneumoniae to infect various human cells such as epithelial, endothelial, and smooth muscle cells as well as macrophages, monocytes, and lymphocytes, suggests a systemic dissemination following exposure to a respiratory infection. Certainly, the presence of C. pneumoniae DNA in peripheral blood mononuclear cells (PBMCs) strongly suggests that such dissemination can occur in a number of different tissues [17]. C. pneumoniae infection has been shown to promote the transmigration of monocytes through human brain endothelial cells, suggesting a mechanism by which the organism may enter the CNS. This may account for the delivery of the organism to the CNS and result in chronic injury [18].
This review addresses the potential and the underlying mechanisms by which C. pneumoniae infections can play a role in different neurological diseases, examining the epidemiological and methodological findings among studies which will be highlighted. Suggestions for future studies and potential standardization of tools and protocols are proposed.
2. C. pneumonia Infection, Atherosclerosis, and Cerebrovascular Diseases
2.1. C. pneumoniae and Atherosclerosis
If large is the amount of data that support the role of C. pneumoniae in the atherosclerosis, equally important is the weight that C. pneumoniae has recently taken in the cerebrovascular diseases. The mechanism of atherosclerotic disease and thrombosis is not completely known. The first report of an association between C. pneumoniae infection and atherosclerosis was by Saikku et al. [2]. Individuals with immunoglobulin G antibody specific for C. pneumoniae were shown to be at an increased risk for myocardial infarction and CHD, as there was a statistically significant difference in the frequency of antibody in patients versus controls. Subsequently, many other reports concerning the seroepidemiological association between specific antibodies to C. pneumoniae and atherosclerosis at several arterial sites using retrospective, cross-sectional and prospective studies, have confirmed a link between C. pneumoniae and atherosclerosis [19]. Overall, these seroepidemiological studies have shown some limitations because different laboratories have measured different antibody classes, used different criteria for determining seropositivity or measured antibodies that were cross-reactive with other chlamydial species. Although most of the studies have used the micro-immunofluorescence test (MIF) for measuring antibodies, inter-laboratory variation in interpreting the results remains a problem [20, 21]. However, a number of experimental data support the involvement of this pathogen in the pathogenesis of atheroma [11–13]. First, C. pneumoniae gains access the vasculature during local inflammation in lower respiratory tract infection. Second, the infected alveolar macrophages transmigrate through the mucosal barrier and give the pathogen access to the lymphatic system, systemic circulation, and atheromas. Third, C. pneumoniae can infect a variety of cells commonly found in atheromas, including coronary artery endothelial cells, macrophages, and aortic smooth muscle cells. Fourth, C. pneumoniae may influence atheroma biology by modulating macrophage-lipoprotein interactions. In this setting, chlamydial lypopolysaccaride (LPS), a potent endotoxin constituent of outer membrane of Gram negative bacteria induces the release of cytokines promoting leucocyte adherence, leucocyte migration, and intimal inflammation. LPS has also been demonstrated to have a crucial role in lipid metabolism [22] and it is involved in mediating the process of “catching’’ LDL cholesterol by macrophages infected with C. pneumoniae, which is transformed into “foam cells,’’ the “key cells’’ of newly formed atherosclerotic lesions [23]. Moreover, in vitro studies have shown that upregulated molecules by C. pneumoniae, including ®-2 and ®1-integrins, adhesion molecules (ICAM-1, VCAM-1), platelet derived growth factor (PDGF), tissue factor (TF), early growth response factor (EGR-1), appear to contribute to these events. Some of these, along with matrix metalloproteinases (MMPs) contribute to the destabilization of atheromasic plaque, and the formation of thrombus [12] and consecutively may lead to the arterial thromboembolic complications. The link between C. pneumoniae and coronary atherosclerosis is also substantiated by studies in which antibodies against members of the HsPs family were detected in individuals with persistent C. pneumoniae infections [9–11, 24, 25]. Several findings indicate in fact that HsPs, which are evolutionary very conservative and are present in both microbial and host cells, seem to be important in the development of autoimmunity. C. pneumoniae HsPs are expressed in abundance in atherosclerotic lesions and a persistent Chlamydia infection is accompanied by an increased production of HsP60. In particular, this protein, may represent a particular antigenic stimulus capable of eliciting strong humoral and cell-mediated immune responses with immunopathological sequelae of chronic chlamydial infections [9, 10, 12, 13, 26]. In this regard, C. pneumoniae Hsp60 has been demonstrated in patients with acute hemorrhagic evolution of the carotid plaque suggesting that C. pneumoniae might participate in the atherogenesis and to induce atherosclerosis complications by inflammatory pathways (activation of cytokines, endothelial factors and MMPs) [9]. At present, very little is known about genes predisposing the host to the persistent C. pneumoniae infection and its sequelae. HLA haplotype markers have been recently investigated in patients with coronary artery disease (CAD). In a recent study, a multiple logistic regression analysis showed HLA-B*35 allele as the strongest risk gene for the combined serological markers of C. pneumoniae. Male sex and smoking further strengthened the association between HLA-B35 and markers of C. pneumoniae infection. Interestingly, HLA-B*35 was also found to be associated with cardiovascular risk in Finnish patients [14].
2.2. C. pneumoniae and Stroke
The role of C. pneumoniae in the pathogenesis of ischemic stroke is still debated. Infection with C. pneumoniae may contribute to the risk of stroke by enhancing CAD, as addressed in several issues. Several published studies including the pilot case control “Northern Manhattan Stroke Study,’’ focused on the correlation between the C. pneumoniae infection, represented by the elevated serum levels of specific anti-C. pneumoniae (IgA, IgG, and IgM) antibodies at MIF test and stroke occurrence [26–31], in different race-ethnic groups and after adjusting for conventional risk factors. The MIF method was used in most of the previously published papers, as considered as a reference standard in the C. pneumoniae serology. The elevated titers of anti-C. pneumoniae IgA and IgG were more prevalent in subjects with acute ischemic stroke than in controls [26, 29–32]. With immunohistochemical staining, other investigators demonstrated the presence of C. pneumoniae in more than 70% of the endarterectomy specimens from stroke patients with severe carotid stenosis [33]. Other authors assessed anti-Chlamydia IgA and IgG seropositivity using an ELISA test and found an increased risk of stroke in young patients seropositive to C. pneumoniae in the IgA antibody class rather than in IgG class [34]. This has suggested the possibility that IgA antibodies, which last only 3 to 5 days in the circulation, are a diagnostic marker of persistent, chronic infection (single IgA MIF titer 1 : 16), whereas IgG antibodies, which are produced for 3 to 5 years, are a marker of older, inactive infection [14]. The association between IgA titers and risk of ischemic stroke was also stratified according to ischemic stroke subtype. In contrast with the less consistent evidence of an association of IgA titers and cardioembolic and cryptogenic stroke, there was a trend toward an association of IgA titers with large vessel atherosclerotic and lacunar stroke, strongly supporting evidence that C. pneumoniae contributes to atherosclerosis [30]. However, according to a previous consensus statement [35] and other authors [36, 37], there is not yet agreement that IgA titers are indicative of chronic, persistent infection. First, the half-life of specific C. pneumoniae is only a few days. Second, measurement of IgA antibodies may be complicated by cross-reacting C. pneumoniae IgG and rheumatoid factor or with antibodies to other chlamydial species and potentially other microorganisms. Third, MIF, the serologic “golden standard” which may have been overestimated in the past, is not standardized and there are interlaboratory variations in the performance of this test [38]. Finally, the hypothesis that C. pneumoniae infection, as indicated by elevated IgA and IgG antibody titers, may be not associated with an increased risk of ischemic stroke. This, however, may differ according to subtype of ischemic stroke, cut-off value of antibody titers, and gender. Anti-C. pneumoniae antibodies were also evaluated in HIV infected individuals with CAD. One study showed that both the IgA and IgG levels did not differ significantly and no subjects were positive for IgM, suggesting that the damage to the carotid wall in HIV-1 patients was not due to C. pneumoniae [39]. Other studies by contrast, found that C. pneumoniae represents a further risk factor for cardiovascular disease in HIV-positive patients with both low CD4 cell count and high HIV load [40] and that the coexistence of hypertriglyceridemia and C. pneumoniae infection significantly increases the risk of atherosclerosis up to three times [41].
A number of studies addressed the question of whether molecular tools and in particular PCR can be used to detect chlamydial DNA in cerebrovascular atherosclerotic lesions. The results provided from a consistent number of atherosclerotic lesion and blood specimens from more than 1500 patients analysed by different in-house PCRs, were found extremely variable. Being PCR not standardized, this technique has a tendency to produce false positive results. In this setting, there is the need for standardization of PCR methods and for assessing their sensitivity, specificity, and predictive values. In general, there is not consensus on how nested PCR (n-PCR) technology can be controlled [42]. PCRs have been shown to be predictive of CAD, when used for detection of C. pneumoniae DNA in PBMC, suggesting that the detection of bacterial DNA in PBMC may be a valid surrogate marker to identify individual risk for endovascular chlamydial infection [43]. Recently, C. pneumoniae DNA and chlamydial LPS were measured during 12 months in 97 patients with acute CAD. C. pneumoniae DNA was detected in PBMC from 8 (8.2%) patients at the initial hospitalization during acute CAD and in 9 (10.6%) patients at 3 months. C. pneumoniae DNA declined in stable state and in the recovery period. These findings suggest a role of the bacterium in the acute phase of CAD [44]. Attempts to eradicate C. pneumoniae in patients with cardiovascular diseases including the “Azytromycin and Coronary Event Study’’ trial, have all failed [45–47]. As shown in previous studies the persistent state is completely refractory to antibiotic treatment [45] and first-choice antichlamydial drugs may even induce chlamydial persistence under certain conditions [46]. In the absence of a functional treatment strategy, the hypothesis of a chlamydial contribution to atherogenetic processes can thus neither be proved nor disproved by eradication studies, and a better understanding of chlamydial pathobiology in order to target specific chlamydial antigens is needed before implementing clinical studies with new effective antibiotic regimens.
In summary a causative role of C. pneumoniae infection in cardiovascular disease has not yet been firmly established. Despite the considerable laboratory and clinical research that has been done on the role of C. pneumoniae in the progression of atherosclerosis, several important questions remain unanswered. Most importantly, it is not known whether the C. pneumoniae bacterium is an innocent passenger aboard atheromas or whether it is actively involved in the initiation or progression of atherosclerotic disease. To answer this question, well-planned studies are needed to further characterize the molecular mechanisms that link C. pneumoniae to vascular disease. In particular, HsP60 needs to be explored further as a potential culprit and therapeutic target. The early results from antichlamydial intervention studies in humans are partially consistent with a causative role of C. pneumoniae in the disease process.
3. C. pneumoniae, Neurodegenerative, and Demyelinating Disorders
The ability of the C. pneumoniae to persist in monocytes and macrophages in tissues for long periods, to circumvent the mechanisms of bactericidal and oxidative stress, to activate the endothelial cells with production of adhesion molecules and cytokine overproduction, has suggested that it may participate in the development or progression of certain acute and chronic inflammatory diseases of the CNS. In recent years, in fact, a growing body of evidence concerning the involvement of C. pneumoniae in neurological diseases has been gradually increasing. This was supported in particular by the detection of genomic material of the microrganism into the cerebrospinal fluid (CSF) of patients with multiple sclerosis (MS), Alzheimer’s disease (AD), meningoencephalitis and neurobehavioral disorders [4, 6–8, 18].
3.1. Alzheimer’s Disease
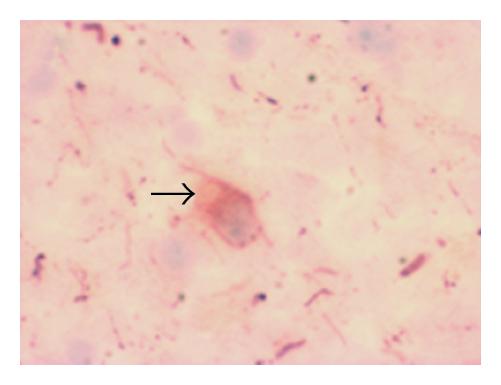
Alzheimer’s disease (AD) is one of the most severe dementing illnesses that increases with the increasing age of the population. The disease is associated with atrophy/death of neurons in particular regions of the brain and occurs in two general forms: an early-onset form that is primarily genetically determined, and a far more common late-onset AD (LOAD), which is a non-familial, progressive neurodegenerative disease that is now the most common and severe form of dementia in the elderly. The defining neuropathology of both familial and sporadic AD includes the neuritic senile plaque (NSPs), consisting primarily of amyloid beta (A) protein, and neurofibrillary tangles (NFTs), the major component being modified tau protein, that affect nerve synapses and nerve-nerve cell communication. Genetic, biochemical, and immunological analyses have in part provided a relatively detailed knowledge of these entities [48, 55]. The disease usually manifests initially as a gradual loss of short-term memory and later progresses to major cognitive dysfunction. The latter can take the form of various behavioural disorders, loss of orientation, difficulties with language, and impairment of daily living [56]. Estimates of crude incidence of AD range from 7.03 to 23.8 per 1000 person years [57, 58]. The range is likely attributable to different study populations and case investigating methods. The incidence of AD increases with age for both genders, but there is definite indication if there are gender differences. AD seems to be more common among women with approximately a third higher incidence and prevalence among females compared to males [59–61]. Using age-specific incidence rates one projection study in the U.S. predicted that incident cases would increase from the 360,000 cases in 1997 to 1.14 million in 2047 [61]. Despite the AD’s discovery by Alois Alzheimer in 1907, the cause of this pathology and neurodegeneration is not unknown. Infections of the CNS have been shown to stimulate inflammatory responses that may result in neurodegeneration [62]. Several groups have investigated an association between various infectious agents and AD, but none of these has been accepted as either etiological for disease development, or worsening of neuropathology. Interesting perspectives came from one study which identified herpes simplex virus type 1 (HSV-1) infection as a risk factor for development of AD in subjects expressing APOE 4 allele [63, 64]. Virus including measles virus, adenovirus, lentiviruses, and several other others were initially considered but discarded after [65, 66]. Bacterial pathogens including C. trachomatis, Coxiella burnettii, Mycoplama spp and spirochetes [67, 68] have also been investigated and dismissed in relation to involvement in AD neuropathogenesis. Prions have been also taken into consideration but then excluded [69]. The first paper that reported an association between C. pneumoniae infection and LOAD was from Balin et al. [48]. He found that 90% of AD brains were positive for C. pneumoniae as assessed by highly sensitive and specific PCR and the organism was detected in various sections of brain (hippocampus, cerebellum, temporal cortex, and prefrontal cortex) that exhibited AD pathology of more or less variable intensity [55]. Electron microscopic (EM) results revealed C. pneumoniae like particles containing EBs and RBs in the brain tissue and immunohistochemistry analysis indicated strong labelling in the sections of the brain most affected by AD among the cases, while no labelling in the controls. Moreover, a part the detection and visualization of C. pneumoniae within the cells of CNS that were associated with plaques and tangles, RNA transcripts of C. pneumoniae indicating metabolically active organisms were demonstrated by RT-PCR in frozen tissue samples and organisms were then isolated from the tissue and propagated in cell cultures. In that report, a strong association of APOE-4 genotype and C. pneumoniae infection was found in 58% (11/19) patients with AD suggesting, as shown in reactive arthritis, that the APOE-4 gene may promote some aspects of C. pneumoniae pathobiology in AD [48]. The Balin study report received a great deal of public and scientific attention and attempts to replicate the finding were conducted in mother reputable laboratories throughout the world. Two independent investigators (Ossewaarde et al., 2000 and Mahony et al., 2000, unpublished data) found C. pneumoniae in brains of AD patients with PCR and immunohistochemistry, validating Balin’s results. However, conflicting results were found in subsequent studies by different authors using the same procedures but different protocols in paraffin-embedded brain tissues [49–53] attempting to revalidate the previous findings (Table 1). These studies have yielded contradictory results likely due to differences in diagnostic criteria and diagnostic tools. Demographic differences between the patient groups, such as geographic location, season of death and institutional history might also account for these opposing results. AD patients included in the Balin study, might have been recently exposed to C. pneumoniae, perhaps in an institutional setting, and therefore would have been at high risk of systemic spread from the respiratory tract to sites within the CNS, where advanced AD pathology already existed [70]. In a extension of these findings, Gerard, two years later, demonstrated C. pneumoniae in 80% of AD samples and 11.1% of the controls using primer targeting two Chlamydia (1046, 0695) genes. The AD cases (mean age 79.3 years) and controls (65.9 years) were age-and sex-matched as closely as possible, but the controls were younger and 22.7% were males [54]. The organism was again viable within the AD brain as assessed by culture of the organism from brain samples; moreover, RT-PCR analyses identified primary rRNA gene transcripts from C. pneumoniae indicating metabolic activity of the organism in those tissues. Interestingly, immunohistochemical analyses have also shown that astrocytes, microglia, and neurons all served as host cells for C. pneumoniae in the AD brain, and that infected cells were found in close proximity to both NSPs and NFTs in the AD brain (Figure 1). Recently, cultured astrocytes and microglia have also shown that C. pneumoniae displays an active, not a persistent, growth phenotype indicating probable concomitant destruction by lysis of some portion of host cells at the termination of that cycle [71]. In the years immediately after the study of Balin, some experimental discoveries have provided insights about the pathogenetic mechanisms of AD. First, a relationship exists between possession of the APOE-4 allele and the pathobiology of C. Pneumonia [72] and that the C. pneumoniae load in the AD brain varies with APOE genotype [73]. Second, infection of human microvascular endothelial cells co-cultured with C. pneumoniae elicits increased expression of proteins relevant to access for the organism to CNS including N-cadherin and b-catenin [74]. Third, the expression of occludin, a protein associated with tight junctions, is attenuated in the C. pneumoniae-infected cells. Fourth, infection with C. pneumoniae through the olfactory pathways of nontransgenic young female BALB/c mice which usually do not develop AD, has shown to promote the production of extracellular amyloidlike plaques (A1-42) in the mouse’s brain thus providing a unique model for the study of sporadic AD and suggesting that this model could be a primary trigger for AD pathology following a noninvasive route inoculation [75]. Since C. pneumoniae is harboured in the respiratory tract and has a predilection for infecting epithelial cells, the olfactory neuroepithelia in the nasal passages are a likely target for infection. Following entry into these epithelia, potential damage and/or cell death may occur in the main olfactory bulb and olfactory cortex, thereby setting the stage for further retrograde neuronal damage [55].

(a)

(b)

(c)

(d)

(e)

(f)
Because chlamydial chronic infections are characterized by the inaccessibility of the “chlamydial persistent state’’ to conventional antichlamydial agents, there are few clinical trials that have determined the effectiveness of antibiotic therapy against C. pneumoniae in AD. A first randomized, placebo controlled, multicentre clinical trial performed to determine whether a 3-month course of doxycycline and rifampin could reduce the decline of cognitive function in patients with AD showed significantly less cognitive decline at 6 months and less dysfunctional behaviour at 3 months, in the antibiotic group than in controls [76]. Although these observations do not demonstrate a causal relationship between CNS infection with C. pneumoniae in terms of eradication of chronic C. pneumoniae infection and the AD neuropathogenesis, they do open the way to further investigations. In this regard, animal modelling will be required to define in detail how chlamydial infection might result in AD-related pathological change in the CNS and to provide a better understanding of infection parameters. In vitro and mouse model studies have demonstrated that metal protein attenuating compounds (MPACs) promote the solubilisation and clearance of extracellular senile plaques comprised of beta-amyloid. The role of the antiprotozoal metal chelator clioquinol in AD, which has been reported to reduce beta-amyloid plaques, presumably by chelation associated with copper and zinc, is currently in clinical trials as potential for treatment of AD [77, 78]. The scientific knowledge surrounding Alzheimer’s disease and infection by C. pneumoniae is still growing. Standardization of diagnostic techniques would certainly allow for better comparability of studies. However, other systemic infections as potential contributors to the pathogenesis of AD should be considered.
3.2. C. pneumoniae and AIDS Dementia
Many authors have explored the possibility that C. pneumoniae was involved in other neurodegenerative disorders other than Alzheimer's disease. The existing data are however few and not significant. Among those characterized by dementia, one study performed by our group explored the possible link between AIDS-dementia complex (ADC) and C. pneumonia [79]. ADC is an HIV-derived neuropathological disorder characterised by infection of macrophages and microglia cells and release of proinflammatory cytokines into the parenchyma [80]. In this report, C. pneumoniae was identified in the CNS by PCR for C. pneumoniae MOMP and 16S rRNA gene in 4 (17.4%) out of 23 HIV-infected patients diagnosed as ADC Stage 3 according to scheme for AIDS dementia complex and confirmed by autopsy. Sequence analysis revealed significant homologies with C. pneumoniae compared to C. trachomatis and C. psittaci. Moreover, high mean levels of CSF specific anti-C. pneumoniae antibodies and C. pneumoniae antibody specific index values significantly elevated were also found by ELISA in these patients. These findings suggest that although the low rate of isolation is not representative of the frequency with which C. pneumoniae is involved in the causation of CNS injury, in the late-stage HIV infection, an increase in “trafficking’’ of monocytes containing C. pneumoniae to the brain may carry this organism in the sites which are the major reservoirs of productive HIV replication and contribute to neuronal damage in HIV-infected patients [79]. Moreover, the possibility that may exist a patient’s subgroup in whom this organism is not, as for atherosclerosis and other Chlamydial diseases, an “innocent bystander,’’ but may survive and replicate in CNS macrophages cannot be excluded [8].
3.3. C. pneumoniae and Multiple Sclerosis
MS disease is a presumed autoimmune chronic inflammatory disease of the CNS of unknown aetiology triggered by an environmental factor in susceptible individuals. It generally affects 1 to 1.8 per 1,000 individuals and kills more than 3000 people each year, with a further estimated annual morbidity cost of over $ 2.5 billion. In the United States, the prevalence of the diseases is 250,000 to 350,000 cases annually [97]. The pathological hallmark of multiple sclerosis (MS) is the demyelinating plaque that represents an area of demyelination and gliosis around blood vessels [98]. Acute lesions show perivascular lymphocytes and plasma cells along with the infiltration of macrophages and phagocytosis of myelin membranes. The continuous breakdown and regeneration of myelin has been demonstrated within the progressive MS plaque [99]. Toll-like receptors (TLR) are intimately involved in several neurodegenerative and demyelinating disorders including MS as demonstrated with the finding of a marked increase in TLR expression in MS lesions. PCR studies have shown that microglial cells from MS patients express TLRs 1–8 [100]. Moreover, while healthy white matter from MS patients does not contain TLRs, active lesions are associated with high expression of TLR3 and TLR4 on microglia and astrocytes. In contrast, late active lesions also contain astrocytes bearing surface TLR3 and TLR4 [100]. This suggests that early lesions are characterized by microglia infiltration, while astrocytes are also active in later MS lesions. However, the precise role of TLR3 and TLR4 activation in these lesions is yet unknown. TLRs have been shown to recognize highly conserved regions in various microorganisms (Pathogen-Associated Molecular Patterns) including C. pneumoniae and thus stimulate a potent inflammatory response contributing to the clearance of the pathogen [101]. Unpublished our findings have detected the major expression of mRNA TLR-2 and TLR-4 in peripheral blood but not in CSF from SM patients with RR forms, indicating that their combined activity might be crucial to modulate and activate the cellular-mediated immune response during chronic infections by C. pneumoniae [102]. Based on epidemiological observations, it has been proposed that exposure to an environmental factor, such as an infectious agent, in combination with genetic predisposition could be implicated in MS pathogenesis [103]. The risk of MS is enhanced by the presence of specific genes on chromosome 6 in the area of MHC, Human Leukocyte Antigens (HLA) in humans. In particular, HLA-DR and HLA-DQ genes, which are involved in antigen presentation, are strongly associated to the development of the disease. However, although the risk of the disease is higher in monozygotic than in dizygotic twins (about 30% and 5%, resp.), the low concordance rate obtained in identical twins suggests that non-genetic factors can contribute to MS aetiology. In this setting, the aetiopathogenesis of MS disease is complex and still debated. So far, about 20 microorganisms including viruses have been associated with this disease [104]. The screening techniques in these studies varied from serology to PCR and quality and numbers of controls examined varied widely. The latest pathogen to be associated with MS is C. pneumoniae [105–110]. Sriram et al. reported the first evidence suggesting the potential role for C. pneumoniae as a candidate in MS pathogenesis [106]. One year later, a larger study from the same group strongly confirmed that CSF demonstration of C. pneumoniae was more frequent in MS patients than in control patients with other neurological disorders (OND) [107]. In particular, C. pneumoniae culture isolation was obtained in 24/37 (65%) MS and in 3/27 (11%) OND patients, CSF single polymerase chain reaction (PCR) for major outer-membrane protein (MOMP) was positive in 36/37 (97%) MS and in 5/27 (18%) OND patients, whereas CSF anti-C. pneumoniae IgG were detected by enzyme linked immunoadsorbent assay (ELISA) in 32/37 (86%) MS and in 0/27 (0%) OND patients. After this innovative publication, a number of studies have suggested that C. pneumoniae infection may be associated with MS, while other studies have found no association [108, 109]. During recent years, there have been many evidences of a possible role of C. pneumoniae involvement in MS disease supported in part by seroepidemiological, cultural, molecular, immunological and therapeutic studies. However, it is also true that there are not many studies that argue for a role of organism in MS. First, while some reports have documented that C. pneumoniae seropositivity was related to the risk of MS progressive forms (SP and PP), but only moderately linked to the risk of developing MS [110], others have not found association between serum titers of anti-C. pneumoniae antibodies and the risk for MS or, by contrast, a higher risk to develop MS in a subgroup of older patients after than before disease onset [111]. Second, the organism was found in course of MS relapses in the throat together with a rising serology [112]. Third, relapses of MS have long been noted to follow respiratory infections, including sore throat, or pneumonia with a clinical pattern typical of respiratory infection caused by C. pneumoniae. The isolation of the pathogen, as assessed by culture assay in CSF and brain tissue failed repeatedly in MS patients [113–115] or was positive only in a small proportion of MS patients [81, 116]. Dong-Si et al. have noted gene transcription of messenger RNA by C. pneumoniae in CSF from MS patients suggesting active infection by this pathogen [91]. Recently, active transcription of DNA from the organism has been found in a persistent and metabolically active state in cultured CSF and PBMCs from MS patients, but not in controls [95]. Other investigators were able to culture and detect C. pneumoniae in buffy coat samples from a healthy blood donor population [117] demonstrating a Chlamydia carriage rate of 24.6%, within the WBC of the peripheral circulation. Because of the difficulties of isolating C. pneumoniae cultures, nucleic acid amplification methods such as PCR-based assays have become the method of choice for detection of this microorganism. However, PCR procedures often differ in several aspects which can affect sensitivity, reproducibility, and specificity when applied to direct testing of clinical specimens [86, 118, 119]. In this context, collaborative studies involving different laboratories in which the presence of C. pneumoniae was evaluated in blinded CSF samples, further underlined the lack of an accepted standardized PCR protocol [120, 121]. A number of PCR studies did not provide evidence of detection of C. pneumoniae DNA in CSF of MS patients. Most of these studies were performed using single or nested (n) PCR targeting either MOMP or 16S ribosomal (rRNA) chlamydial genes [11, 34, 114, 116, 122–124]. By contrast, a substantial body of work from around the world has provided clear evidence of the involvement of C. pneumoniae in MS. In this setting, a consistent number of studies did found PCR positive results with DNA or mRNA positive rates varying from 2.9% to 69% [81–91]; [94–96]; [117–126] as listed in Table 2. Some reports also demonstrated the more frequency of C. pneumoniae DNA in CSF of MS patients with Gd enhancing lesions on MRI scans [87, 89]. Moreover, CSF detection of heat-shock protein-60 messenger RNA (Hsp-60 mRNA) and 16S rRNA by Reverse-Transcriptase PCR (RT-PCR) was more frequent in MS patients than in controls signifying the presence of a high rate of gene transcription and, therefore, more active metabolism of C. pneumoniae in MS [91]. In 2004, our group developed a novel amplification program for MOMP gene by employing a “touchdown’’ technique and analyzing CSF samples from patients with MS, other inflammatory neurological disorders (OIND) and noninflammatory neurological disorders (NIND) and employed three gene targets (MOMP, 16S rRNA and HsP-70) in parallel to achieve a major sensitivity and specificity [92]. A PCR positivity for MOMP and 16S rRNA in CSF was present in a small proportion of MS (37%), OIND (28%) and NIND (37%) patients, without any differences between MS and controls. Furthermore, a PCR positivity for MOMP and 16S rRNA in CSF was more frequent in relapsing-remitting (RR) MS than in MS progressive forms (SP and in PP MS) as well as in clinically and magnetic resonance imaging (MRI) active than in clinically and MRI stable MS, whereas a CSF PCR positivity for HsP-70 was observed in only three active RR MS patients. Thus, it cannot be excluded that, in a particular subgroup of RR active MS patients, C. pneumoniae may enter into brain early in the course of the disease via transendothelial migration across the blood/brain barrier of activated infected blood-borne monocytes, resulting in ongoing inflammatory immune activation that takes place within the CNS. Alternatively, the presence of elevated rates of C. pneumoniae DNA in CSF in this subset of MS patients could merely reflect the selective infiltration of monocytes which traffic into the brain after activation, thus suggesting a role for C. pneumoniae only as a silent passenger. In attempting to recover C. pneumoniae from cultured CSF and PBMC compartments with a PCR targeting multiple genes, a positivity for C. pneumoniae DNA and mRNA was recently detected in 64% of cocultured CSF and PBMCs of RR MS patients with evidence of disease activity, whereas only 3 controls were positive for Chlamydial DNA, suggesting that C. pneumoniae may occur in a persistent and metabolically active state at both peripheral and intrathecal levels in MS, but not in controls [95]. In this study the parallel molecular analysis of multiple Chlamydial target genes after co-culture of fresh CSF and PBMC specimens, has shown to enhance the sensitivity and specificity of molecular tools. Of note, as C. pneumoniae DNA was found in PBMCs which are able to cross the blood-brain barrier, these cells could be the source of intrathecally compartmentalized C. pneumoniae that, in turn, may induce a chronic persistent brain infection acting as a cofactor in the development of the disease. More recently, in a comparative study aimed to evaluate novel procedures for the detection of C. pneumoniae DNA in CSF, the qualitative colorimetric microtiter plate-based PCR-enzyme-immunoassay (PCR-EIA) has shown to be more sensitive than a real-time quantitative PCR assay (TaqMan) and possessed a sensitivity that was equal to the nested-PCR [96]. In order to support the theory of an association between C. pneumoniae and MS, a number of studies did evaluate the presence of intrathecal IgG in the form of oligoclonal bands (OCB) in the CSF of MS patients. Their presence, as for other bacterial, viral, fungal, and parasitic diseases, would be of great evidence for an infectious cause of MS [127] and may reflect an antigen-driven immune response to infectious agents [128]. However, OCB are also detected other than in MS in 10% of patients with other inflammatory diseases of the CNS. In this regard, studies aimed to determine the CSF levels of anti-C. pneumoniae IgG in MS patients did result extremely variable (varying from 0% to 20%) producing any or scarce differences between MS and controls [81, 85, 87, 90, 122, 123, 126, 129, 130]. Recently, we found that an intrathecal synthesis of anti-C. pneumoniae IgG as evaluated by antibody specific index (ASI) was more frequent in MS (16.9%) and in OIND (21.6%) than in NIND (1.9%) patients and in patients with MS progressive forms (SP and PP MS) than in RR MS patients [131]. Moreover, among the patients with intrathecally produced anti-C. pneumoniae IgG, CSF C. pneumoniae-specific high-affinity antibodies, were demonstrated to be more frequent in a subset of patients with MS progressive forms (SP or PP MS), than in OIND patients, and absent in RR MS and NIND patients. To further examine a possible relationship between C. pneumoniae infection and MS, Sriram published a study that examined autoptic samples of brain tissue and CSF using immunohistochemical staining with anti-C. pneumoniae monoclonal antibodies other than molecular and ultrastructural methods [93]. These techniques provided evidence of the presence of C. pneumoniae more commonly in MS patients (90%, 62%, and 55%, resp.) than in control patients. Using electron microscopy the authors first demonstrated the presence of immunogold-labeled objects of the morphology and size and of chlamydial EBs in the ependymal surfaces and periventricular regions in the CSF of four out of ten (40%) patients with MS but not in the CSF of control patients. Collectively taken, although MS patients were found to be more likely to have detectable levels of C. pneumoniae DNA in their CSF and intrathecally synthesized immunoglobulins, compared with patients with had neurological diseases, the overall findings examined in a review through 26 studies that considered 1332 MS patients and 1464 controls using random-effects methods and random-effects meta-regressions, adjusted for the confounding effect of gender differences, were insufficient to establish an etiologic relation between C. pneumoniae and MS [132].
The treatment directed against the inflammatory process is only partially efficacious on the MS disease course. In relapsing-remitting MS, such therapy slows the progression of disability, but in primary-progressive MS the same therapy has demonstrated to have little or no effect on the progression of disability. On the other hand, reports regarding the antimicrobial treatment of MS have provided conflicting results. In one trial the antibiotic minocycline resulted in a reduction in the number of gadolinium-enhancing MRI-detected lesions [133]. Another study showed that anti-chlamydial treatment reduced brain atrophy, but did not show any beneficial influence on the number of MRI Gd enhancing lesions [134]. The Vanderblit University group is currently treating patients with MS with a combination of bacterial protein synthesis inhibitors (doxycycline and azithromycin or roxithromycin or rifampicin) and then adding metronidazole to this. These studies will need to be validated by comprehensive multicenter trials of combined antibiotic treatment aimed at all phases of the organism’s life-cycle [135].
From the data presented, there is strong evidence that C. pneumoniae has not a causal role in MS disease. Thus, the actual involvement of C. pneumoniae in MS still remains a matter of debate and requires further understanding through standardized cultural, molecular and ultrastructural protocols for C. pneumoniae in biological samples coming from MS patients and controls. While some studies suggest a role of C. pneumoniae only as a CNS innocent bystander epiphenomenon due to ongoing MS inflammation which favours a selective infiltration of infected-mononuclear cells within the CNS, others indicate a role of C. pneumoniae as a cofactor in development and progression of the disease by enhancing a pre-existing autoimmune response in a subset of MS patients, as supported by recent immunological and molecular findings [95, 109, 136]. Recent our findings have demonstrated a possible association between Parachlamydiae Like Organisms and MS suggesting that these can act alone or together with C. pneumoniae as a cofactor in the development and progression of MS [137]. Although these data needs further assessment, their possible involvement in MS could be of great importance in public health.
Finally, we cannot exclude that other pathogens may be potentially involved in the development of MS disease. Virus have often been considered as potential candidates because they are known to cause demyelinating disease in experimental animals and man, and often cause disease with long periods of latency that presents clinically with relapsing, remitting symptoms [138]. To date, however, studies have failed to identify any single virus as playing a major role in MS. Among the virus suggested as MS cofactors, there are ubiquitous members of the family Herpesviridae, Human herpesvirus 6 (HHV-6), Epstein-Barr virus (EBV) [139–146]. As Chlamydia, these viruses can undergo an alternative infection cycle, entering a quiescent state (latency), with low grade viral infection that does not cause cell lysis, from which they subsequently can be reactivated. However, the cell type in which this occurs is usually not the same cell type in which the productive, cytocidal infection occurs. The human MS-associated retrovirus (MSRV) belonging to endogenous retrovirus family, has been also described as potential pathogen in MS [147].
4. C. pneumoniae and Other Neurological Complications
A number of reports have focused on the involvement of C. pneumoniae in other CNS disorders and in particular in encephalitis or meningoencephalitis. We searched PubMed for articles on encephalitis and Chlamydia pneumoniae or Chlamydophila pneumoniae using keywords: encephalitis, meningoencephalitis, Chlamydia pneumoniae, Chlamydophila pneumonia, and numerous additional keywords including “neurological complications’’ relevant to these topics. Due to the common usage of the previous genus name, “Chlamydia,’’ it was included in the search. The reported cases (Table 3) were not so frequent [148–159]. Most patients were young patients who presented with different neurological symptoms and/or neuro-radiological changes at CT or MRI scan and in most cases, there were also well defined accompanying respiratory symptoms, although these have in some cases preceded the onset of the neurological records. Three patients had cerebellar ataxia, acute demyelinating encephalitis (ADEM), and Guillain Barrè syndrome. The detection of Chlamydia has been almost always done by serological methods based on detection of specific anti-C. pneumoniae antibodies of different classes by MIF (fourfold rise in the IgG titre) and ELISA techniques. One study detected the presence of IgA-type antibodies, suggesting a reinfection [158]. One note reported the use of PCR in a tracheal swab and increasing titres of Chlamydia IgM antibody [155]. These cases, and a review of the literature, suggest that C. pneumoniae infection in addition to other Chlamydiae, may present with significant neurological manifestations. Of interest, most of these patients did experience a favourable outcome after administration of antibiotic therapy with or without corticosteroid treatment, suggesting a strong etiologic link between the microorganism and encephalitis. Chlamydial infections along with Mycoplasma and legionella infections should be included in the differential diagnosis of respiratory infections with a neurologic presentation.
5. C. pneumoniae and Neurobehavioral Disorders
Although the limited data of literature, there is evidence that Chlamydia may be implicated in the pathogenesis of some mental or neurobehavioral disorders including autism and schizophrenia. Autism spectrum disorders (ASDs) are a group of neurobehavioral diseases of unknown aetiology, which include autism, attention deficit disorder, Asperger’s syndrome, and so forth, which causes are unknown but appear to include genetic defects, heavy metal, and chemical and biological exposures [160]. Factors, such as geography, family socioeconomic status, vaccination records, and family educational levels may be also involved. They occur primarily in the young and are probably different in each patient. Such patients do not all share the same signs and symptoms but tend to share certain social, communication, motor, and sensory problems that affect their behaviour in predictable ways. In general, the criteria for diagnosis of ASD are the presence of a triad of impairments in social interaction, communication, and imagination [160]. These signs and symptoms are thought to be due to abnormalities in brain function or structure and are thought to have a genetic basis [161, 162]. There is growing awareness that ASD can have an infectious nature that may be a cofactor for the illness or can aggravate patient morbidity [163–165]. The appearance of infections and in particular Mycoplasma infections in children diagnosed with ASD has been also linked to the multiple vaccines received during childhood [136, 166]. In this setting, C. pneumoniae [167, 168] along with a number of systemic chronic infections, such as those by Mycoplasma species [169–172] and HHV-6 [171–173], have been identified in Gulf War veterans and in family members including their children, using highly sensitive PCR and confirming the results by Southern-blot and dot-blot hybridization. Interestingly, a number of these symptomatic children were diagnosed with autism or attention deficit disorder that fall under ASD [174]. Based on previous observations of persisting IgA titers in some patients with mental disorders, it has been hypothesized that Chlamydiaceae are main pathogenic factors in schizophrenia. Fellerhoff, using n-PCR, found a significant prevalence of C. psittaci, C. pneumonia, and C. trachomatis (9/18, 50%), as compared to controls (8/115, 6.97%). Treatment with in vitro-activated immune cells together with antibiotic modalities showed sustained mental improvements in patients that did not depend on treatment with antipsychotic drugs [175].
6. Conclusions
C. pneumoniae is like a “New Bug that’s full of Surprises’’ [136]. This perfectly matches to the wide range of chronic diseases which can be sustained by this pathogen. Thanks to deep knowledge of the biology of Chlamydia and the use of increasingly sophisticated techniques than those traditionally used, the presence of C. pneumoniae genomic material was demonstrated in a large number of persons suffering from different acute and chronic diseases. Over the past 10 years, a growing number of reports have found a possible link between C. pneumoniae infection and atherosclerosis and CNS diseases including MS, AD other than a variety of neurobehavioral disorders. The main obstacles that have so far presented to support a definitive role of C. pneumoniae in chronic diseases are represented by the fact that no methods exist to safely and confidently diagnose chronic infection, and because chlamydial chronic infections are characterized by the inaccessibility of the “chlamydial persistent state’’ to conventional antichlamydial agents. A causative role of C. pneumoniae infection in cardiovascular disease has not yet been firmly established. Despite the molecular and genetic efforts that have been done on the role of C. pneumoniae in the progression of atherosclerosis, several important questions including whether the C. pneumoniae is an innocent passenger or whether it is actively involved in the initiation or progression of atherosclerotic disease urgently need an answer. In particular, C. pneumoniae HsP60 needs to be explored further as a potential culprit and therapeutic target [11–13]. Several drugs shown to be more or less effective in atherosclerotic disease are in the recent experiments, at the same time effective against C. pneumoniae. Statins, aspirin, and dietary polyphenolic compounds are among them. It is possible that the truly effective treatment targeting chronic C. pneumoniae infection will be found. At the same time, the development of efficacious vaccine should be continued [136]. The interpretation of the fact that astrocytes, microglia, and neurons are host cells for C. pneumoniae in the brain of AD patients, and that infected cells can be found in close proximity to both NSP and NFT, is hampered by the fact that most studies were done with different diagnostic methods, none of which still standardized. This has led a wide variation of interlaboratory test performance, even when the same test and the same criteria have been used. Thus, the actual involvement of C. pneumoniae in AD still remains a matter of debate and requires further understanding through standardized cultural, molecular protocols for C. pneumoniae in autoptic samples coming from AD patients and controls [51–53, 70]. The recent molecular, ultrastructural, and cultural advances that have provided evidence that C. pneumoniae is viable and metabolically active in different biological compartments such as CSF and PBMC from MS patients compared to controls, suggests an association between this pathogen and the disease, particularly in a subgroup of RR MS patients with clinical and MRI disease activity who experience the early inflammatory phase representing the development of the disease [89, 95, 108, 109]. However, the growing body of evidence suggests a role of C. pneumoniae only as a CNS innocent bystander epiphenomenon due to ongoing MS inflammation or a cofactor in development and progression of the disease by enhancing a pre-existing autoimmune response in a subset of MS patients, as supported by the recent immunological and molecular findings [95, 96, 109]. Either for AD or MS there is urgency for further well-designed studies to determine both the importance of C. pneumoniae involvement in human diseases and the usefulness of antibiotic treatment. The role of Chlamydia in the pathogenesis of mental or neurobehavioral disorders including schizophrenia and autism is uncertain and fragmentary. However, the few existing reports suggest a potential involvement which will require further confirmation.
Acknowledgment
This work was in part supported by the Research Program Regione Emilia Romagna—University 2007–2009 (Innovative Research), entitled: “Regional Network for Implementing a Bank to Identify Biological Markers of Activity Disease to Clinical Variables in Multiple Sclerosis.’’